北京积水潭医院心内科成功开展肥厚型心肌病室间隔化学消融术
2022-04-01 12:15 来源:  北京号
关注

3月30日,我院心内科在刘巍主任的带领下,范军主任医师及兰永昊主治医师成功为多年肥厚型梗阻性心肌病患者实施无水酒精化学消融术,患者病情得到有效改善。

术前超声心动图

患者老刘的“心病”

老刘是一位老年男性,有十余年的肥厚型心肌病病史,近两年进展为肥厚型梗阻性心肌病,同时伴有喘憋、胸痛等症状。患者还合并有冠心病,曾就诊多家专科医院,针对冠心病进行治疗并植入支架,但对肥厚型心肌病仅使用药物治疗。近期患者再次出现胸痛表现,为寻求帮助到我院心内科就诊。超声心动检查提示,患者室间隔及左室壁中下段异常增厚,回声欠均匀,最厚处约20mm,导致左室心腔中段变窄,最窄处5mm,流速最快3.8m/s。

入院后,心内科范军主任医师积极为患者明确冠状动脉血管狭窄情况,显示血管无严重狭窄及进展,考虑症状与肥厚型梗阻性心肌病相关,决定采用化学消融的办法对肥厚型心肌病进行手术干预。取得患者及家属的充分信任后,范军医师通过OTW球囊扩张导管,将无水酒精精准注入到间隔支中,使室间隔形成可控程度的心肌梗塞。

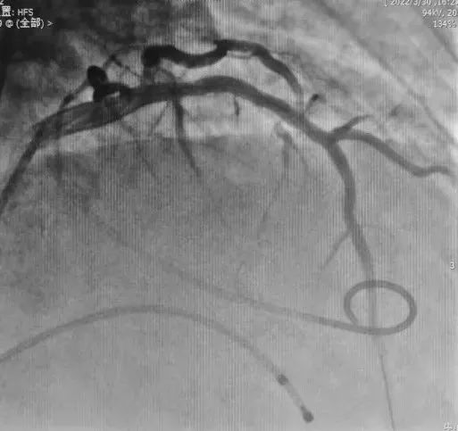
术前

将OWT球囊放置在间隔支近段,打起球囊后封堵住间隔支口部,用2ml造影剂确认目标间隔支,造影剂无反流,确认对比剂到达目标区域,将无水酒精注射至间隔支。

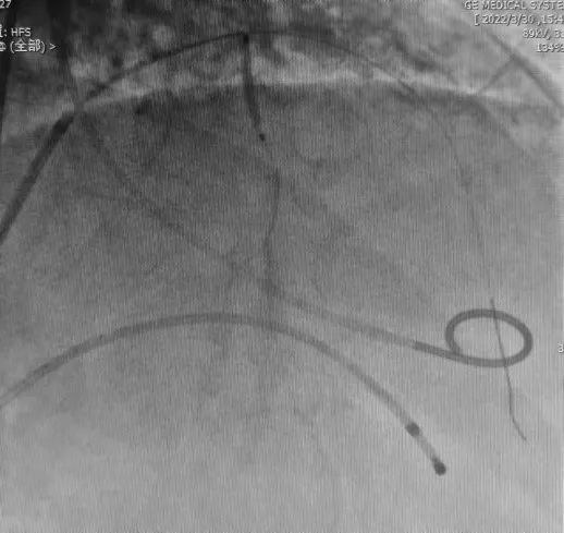
术后

术后造影效果

手术后,患者左室压力与主动脉窦部压力阶差由术前的70mmHg降至5mmHg,流出道流速由3.8m/s降至1.3m/s,成功减轻梗阻,为患者解决了最大的问题,降低了猝死风险。

术前

术前心电监护提示左室内压力199/36mmHg(白线),主动脉窦内压力126/57mmHg(红线),压力阶差73mmHg。

术后

术后心电监护提示左室内压力136/38mmHg(白线),主动脉窦内压力135/62mmHg(红线),压力阶差基本为0mmHg。

术后

超声心动图表现,可见流出道流速降至1.3m/s。

关于肥厚型心肌病

猝死是肥厚型心肌病患者的首位死因,也是最严重的并发症,其最常见的病理生理机制是致命性室性心律失常。

外科室间隔切除减容曾被认为是肥厚型心肌病的金标准。

上世纪80年代,肥厚型梗阻性心肌病(HOCM)非手术介入治疗逐步成为备受关注的治疗方式。Brugada对室性心律失常进行冠脉内酒精注射的电生理研究启发了柏林的G. Berghöfer教授,他在1989年用酒精打入冠脉的间隔支来治疗HOCM患者。

90年代,Gietzen and Kuhn报道了几例球囊临时堵住第一间隔支可以使流出道压差(LVOT)减轻的病例。1995年,Sigwart发表了3例因药物治疗效果不佳后用ASA治疗的HOCM患者。

到了今天,如果患者已经接受了最大耐受剂量药物治疗,LVOT还≥50mmHg,有症状的HOCM患者可以考虑室间隔化学消融术,目前已经成为外科室间隔切除的替代方案之一。

目前,北京积水潭医院心内科技术全面提升,致力于为患者一站式解决心脏相关疾病的诊治,已开展各种类型的介入手术,包括经皮主动脉瓣置换术、经皮二尖瓣钳夹术、左心耳封堵术、各种心律失常射频消融术、先心病介入治疗、房间隔分流术等。

文图丨心内科 兰永昊


作者:

北京积水潭医院


打开APP阅读全文
特别声明:本文为北京日报新媒体平台“北京号”作者上传并发布,仅代表作者观点,北京日报仅提供信息发布平台。未经许可,不得转载。