北京积水潭医院蒋协远团队通过定制反肩假体结合异体骨(APC)术式为患者解除15年病痛
2022-08-31 12:47 来源:  北京号
关注

近日,北京积水潭医院蒋协远教授团队完成了一例定制反肩假体结合异体骨(APC)的复杂手术,为一名52岁的肩关节骨缺损患者解除了长达15年的病痛。

2007年,患者是甘肃一名37岁的青壮年男性,因外伤致肱骨近端骨折,在当地手术内固定治疗。术后很不幸地出现了内固定失效。此后,该患者经历了内固定失效后全肩关节置换、感染后扩创、肩胛盂骨性重建、APC手术,15年多次手术这样一个复杂痛苦的历程。

2009年,因骨折不愈合、内固定失效,患者在当地行全肩关节置换术,术后10天出现伤口愈合欠佳,渗液较多,经换药、抗炎治疗好转后出院。后反复出现伤口窦道形成,都经换药后愈合,但肩关节功能欠佳。

2018年3月,患者原伤口远端再次出现水泡,并破溃流脓,当地局部穿刺抽液送培养,结果阴性。因伤口反复破溃,已经经历十余年病痛的患者,为进一步治疗,找到北京积水潭医院创伤骨科蒋协远教授团队寻求治疗方案。

蒋协远教授带领团队黄强主任医师、查晔军副主任医师、公茂琪主任医师等对患者的治疗方案进行反复讨论和沟通,决定进行分期分次手术。

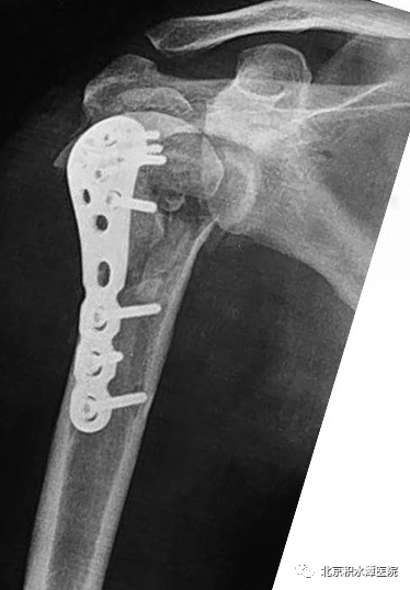
首先行假体取出、扩创控制感染,后期再行反肩关节置换。完善相关检查后,于2018年5月手术,扩创取出原假体,抗生素骨水泥植入。术中最大的难点在于肱骨侧假体、骨水泥及髓腔塞取出困难,而任何残留都可能会造成感染复发,术中采用肱骨干纵行劈开方式将假体、骨水泥和髓腔塞全部取出,并用钢丝捆扎修复,而肩胛盂侧的假体取出则较为顺利,但患者大小结节均已移位,肩袖组织完全挛缩。术后培养为表皮葡萄球菌,通过抗生素治疗,患者的感染顺利控制。

定期复查炎症指标,感染控制良好,但患者功能差,虽然带spacer无疼痛,但越来越觉得肩关节不舒服,同时想改善功能。2021年5月,患者再次回到北京积水潭医院,寻求反肩治疗改善功能。但此时患者肱骨近端大节段骨缺损、大小结节移位、肩袖组织挛缩、肩盂骨缺损严重,这种骨性状态对于反肩治疗难度很大,肩盂侧假体也无法安放与把持、现有肱骨侧假体长度不足、近端无骨性结构保护。蒋协远教授与黄强主任医师、查晔军副主任医师等讨论后,决定先为患者实行肩胛盂重建手术,并设计定制相关假体,为后期置换做准备。

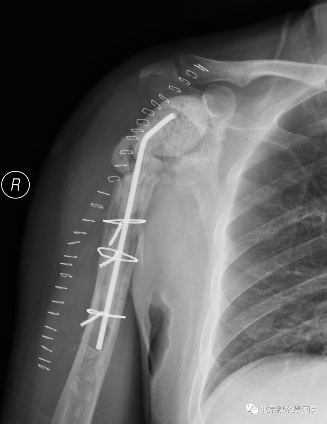
术后患者复查CT,见肩胛盂骨性重建良好。但为解决现有假体长度不足的问题,此次术后,蒋协远教授、黄强主任医师就带领团队医生与工程师团队进行了反复沟通,开始设计并定制合适的反肩假体。按健侧长度计算,肱骨近端骨缺损约8厘米,起初还在肿瘤型假体和APC方式间反复讨论,最后决定采用定制反肩假体结合异体骨(APC)的方式进行处理,同时还定制了相应长度的异体骨,以更好地恢复上肢长度和三角肌张力。

2022年8月18日,患者再次回到北京积水潭医院,蒋协远教授带领黄强主任医师和查晔军副主任医师、公茂琪主任医师等为患者进行了APC反肩置换手术治疗。术中见肩胛盂骨性结构重建良好,取出螺钉,顺利安装肩盂侧反球假体。并反复通过测量和软组织张力判断,确定了异体骨长度,安装肱骨侧假体后,以异体骨板捆扎保护,手术过程顺利,拍片见肩关节假体位置满意。

院长蒋协远教授(右)、黄强主任医师(中)和查晔军副主任医师(左)为患者手术

术后为预防感染,仍进行正规抗生素治疗,患者伤口愈合良好,于2022年8月25日顺利出院,目前处于制动状态,待一个月后开始功能康复。

患者从37岁初次受伤到如今52岁,经历了15年的病痛,但是在北京积水潭医院4年3次的手术中,与治疗团队成员结下了深厚的友情,彼此间建立了充分的信任。他十分感谢北京积水潭医院蒋协远教授和黄强主任带领的肩关节创伤团队,并感叹:“只有顶级的医院最好的团队才能治好这么复杂的病,让我重获新生!”

文图丨创伤骨科


作者:

北京积水潭医院


打开APP阅读全文
特别声明:本文为北京日报新媒体平台“北京号”作者上传并发布,仅代表作者观点,北京日报仅提供信息发布平台。未经许可,不得转载。