技术创新!北京积水潭医院成功完成8FR心腔内超声导管指导下房颤射频消融+左心耳封堵“一站式”手术
2022-11-10 09:49 来源:  北京号
关注

近日,北京积水潭医院心内科刘巍主任医师、韩昊副主任医师带领科室团队,成功开展由8FR(直径不到3mm,国际上最细)的心腔内超声(ICE)导管引导下的房颤射频消融+左心耳封堵“一站式”手术,积水潭心血管内科成为国内为数不多应用该技术的医院之一,为京津冀地区复杂房颤患者带来治疗的新希望。

一周前,55岁的王女士(化名)因阵发性胸闷伴心悸、乏力来院就诊,诊断为持续性心房颤动,既往有脑卒中、冠心病、心功能不全(射血分数不到30%)、高血压等病史。心血管内科刘巍主任医师、韩昊副主任医师以及科室介入团队成员对病史、查体及相关辅助检查进行综合研判,计算CHASD2-VASC(房颤导致血栓评分)6分,HAS-BLED(房颤导致出血评分)3分,房颤卒中风险、出血风险均较高。经过冠脉造影排除患者的冠状动脉病变后,为降低卒中风险及出血风险,避免再次脑卒中,同时避免全麻增加手术风险,心血管内科团队研讨后决定,为王女士实施局麻下心腔内超声指导的房颤射频消融+经皮左心耳封堵“一站式”手术。手术中,团队选用8FR心腔内超声导管指导房间隔穿刺,完成房颤射频消融手术,随后在心腔内超声指导下成功为王女士植入左心耳封堵器。在医护团队的精心呵护下,王女士恢复良好很快出院。
术前左房-肺静脉CT显示心耳结构三维重建模型,确定左心耳呈“风向标”形态。
术前经食道超声检查:在0⁰、45⁰、90⁰以及135⁰评估左心耳口部尺寸,预估选用的封堵器型号。
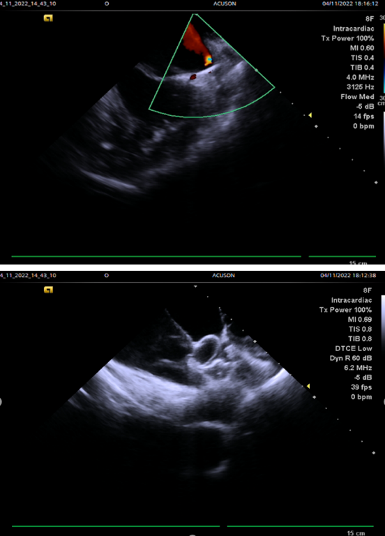
术中经8FR心腔内超声导管引导穿刺房间隔后,多切面测量左心耳尺寸大小,为封堵器的选取提供参考。

术后即刻应用8FR 心腔内超声评估封堵效果,密封盘完全封堵且不影响二尖瓣和左上肺静脉血流,心腔内超声下观察牵拉实验,固定盘稳定无移位。

心血管内科刘巍主任表示,我国老年人口多,心房颤动患者基数较大。而房颤治疗的重中之重就是脑卒中的预防。房颤患者发生脑卒中血栓的来源90%都是左心耳,所以左心耳封堵术是房颤预防脑卒中重要的治疗方法,尤其是房颤不能维持正常的窦性心律需要长期口服抗凝药物,但容易出血的老年患者。刘巍教授2011年在美国进行培训时就接触到这门技术,国内目前开展也是较为普及。但是传统的左心耳封堵术需要经食道超声作为指导,病人需要全身麻醉,而且比较痛苦。

心腔内超声是心血管介入领域新兴起的技术,它不仅可以帮助术者观察消融导管的位置,还可以帮助术者在极低剂量射线辅助甚至零射线的情况下进行房间隔穿刺,同时通过对左心耳形态进行分析选择合适的左心耳封堵伞的大小,并实时指导左心耳封堵过程,评价植入后的效果,另外也能做到实时监测心包情况,让术者第一时间发现并处理心包积液,提高手术安全性。8FR心腔内超声导管的问世,是左心耳封堵手术巨大的进步。

作为北京地区首批开展8FR心腔内超声导管指导房颤射频消融+左心耳封堵“一站式”手术的单位之一,积水潭医院心血管内科在医疗技术创新发展领域又迈出了坚实一步。

文丨心内科 李嘉辉 刘巍

图丨心内科


作者:

北京积水潭医院


打开APP阅读全文
特别声明:本文为北京日报新媒体平台“北京号”作者上传并发布,仅代表作者观点,北京日报仅提供信息发布平台。未经许可,不得转载。