科技创新丨北京积水潭医院智能骨科团队成功实施世界首例机器人辅助反式人工肩关节置换术 为老年患者锦上添花
2023-05-31 17:51 来源:  北京号
关注

近日,北京积水潭医院蒋协远院长带领智能骨科团队成功实施世界首例机器人辅助反式人工肩关节置换术。在导航机器人的辅助下,使这项原本高难度的手术更加高效精准,有望为罹患肩关节疾患的患者带来更好的疗效,改善患者肩关节功能和生活质量。

患者女性,72岁,不幸在两周前因骑车摔伤导致右侧肱骨近端粉碎性骨折,外院予其支具固定、保守治疗。为了尽快缓解骨折带给自己的痛苦,并寻求更好的远期功能结果,患者来到积水潭医院寻求救治。蒋协远院长带领的智能骨科团队经过仔细查体和阅读影像资料,共同商讨该病例后,蒋院长认为本患者年龄较大,平时身体状态良好、基础病不多,加之患者自己手术意愿较为强烈,决定为她实行机器人辅助下的反式人工肩关节置换术。

术前,患者的影像资料。

反式人工肩关节假体的设计是“头在上,盂在下”,和我们正常人体肩关节的结构正好相反,相对于常见的正肩关节置换术而言,称之为反式人工肩关节置换。 与常见的正肩关节置换术相比,反式人工肩关节置换术更适用于老年人,特别是合并有肩袖退变损伤的复杂肱骨近端骨折。

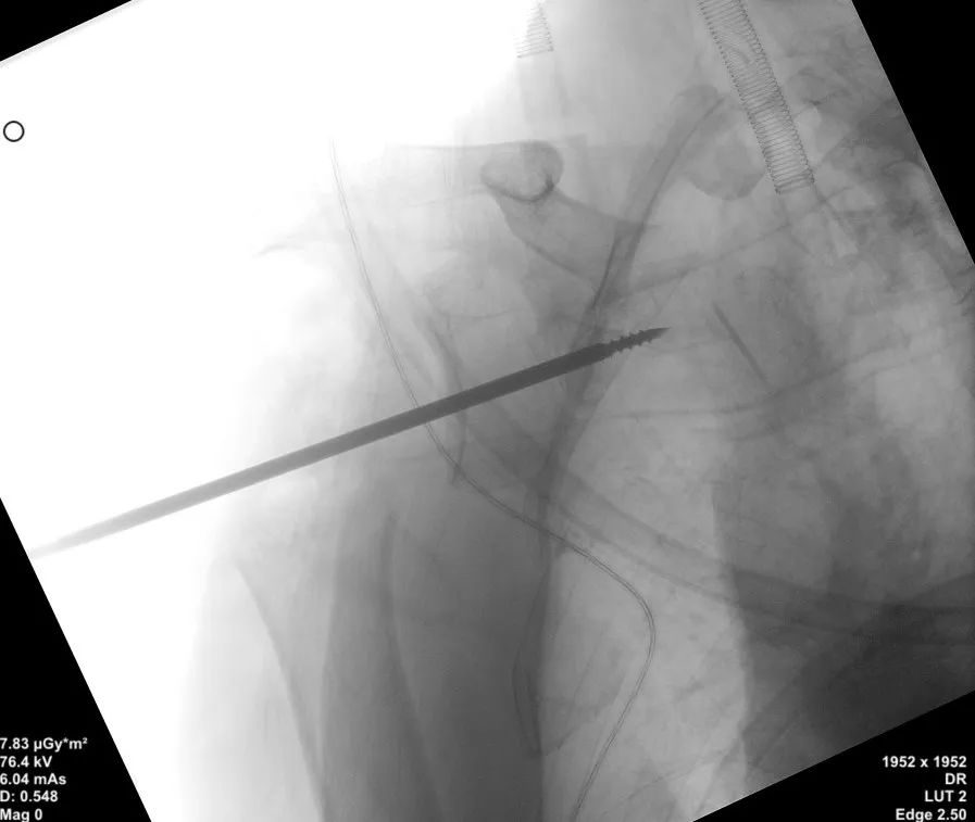
患者沙滩椅体位,手术使用胸肌三角肌入路,充分显露后常规进行肱骨侧和肩盂侧准备,在至关重要的肩盂侧基座导针置入步骤,在锁骨近端安放患者示踪器,使用术中三维影像设备获取肩关节三维图像,扫描结果传输至机器人导航系统,完成路径规划,并在机器人的引导下置入导针,置入后再次进行CT扫描验证,证实导针精确置入,完美符合预期。

术中,导针精准植入。

在导针的精准定位后,为患者置入肩盂侧假体组件,以及后续肱骨侧假体组件,顺利完成手术。手术共计耗时2小时,出血不到200ml,术后复查X片也显示假体植入位置非常满意。
肩盂侧假体组件及后续肱骨侧假体组件置入。

团队成员韩巍主任医师介绍:“基座的准确安放是手术成功的关键,直接影响患者的功能结果和假体使用年限。传统的操作方式依赖医生根据经验手动完成,术中位置验证困难,所以客观性和精准度严重不足。这项创新的机器人辅助技术极大提高了手术的精准性和稳定性,将原本较为主观的评价方式客观化,能有效减少术中透视次数、缩短手术时间、降低手术风险。”

“机器人辅助反式人工肩关节置换术目前尚未有报道。”蒋院长介绍说:“机器人辅助人工肩关节置换有很多优点,比如准确的定位导航、实时的视觉反馈和个性化的手术规划,这能为医生提供更大的操作空间,为患者提供更好的术后效果。目前,积水潭医院已开展骨科机器人辅助下多关节的关节置换术,包括肩关节、髋关节、膝关节以及腕关节,并为研发专门进行肩肘关节的机器人技术,申报了多项省部级课题,但是临床应用上依旧存在一些问题,仍有很多临床需求和技术难点有待研发解决,积水潭医院将继续在这一领域取得更多突破,为患者的健康贡献力量。”

智能骨科研究型病房简介:

北京积水潭医院为了更好地推动骨科机器人手术的临床应用研究,普及推广骨科机器人微创手术技术,提升骨科手术的精准化、微创化、智能化水平,于2021年10月8日在创伤骨科组建智能骨科研究型病房,是国内率先建立的依托高端智能医疗设备和器械等前沿技术的研究型病房。随着智能骨科研究型病房的逐步完善,探索创新性、实用性的前沿技术在骨科手术的临床应用模式,积累临床资料和数据,逐渐满足全院骨科具备医工交叉特色的智能骨科临床应用研究需要,将保障我院基于骨科机器人研发的智能骨科临床研究全程规范开展。依托研究型病房的高质量支撑体系将为高水平的临床研究提供科研项目、设备、技术保障及人才培养路径,推动我院智能骨科临床研究走上有序、高效、高质量发展的快速路。

供稿丨创伤骨科 沈安捷 王军强


作者:

北京积水潭医院


打开APP阅读全文
特别声明:本文为北京日报新媒体平台“北京号”作者上传并发布,仅代表作者观点,北京日报仅提供信息发布平台。未经许可,不得转载。