胸科故事:“刀尖上的舞者”挽救百余纵隔肿瘤患者
2023-06-15 13:03 来源:  北京号
关注

“感谢胸外二科全体医务人员,你们给了我第二次生命。”

这个激动的声音来自刚从ICU转回病房的老康,刚经历完手术的他身体还比较虚弱,不能说太多话,但依然不能阻挡老康劫后余生的激动。就在几天前,他还因纵隔巨大肿物压迫血管而命悬一线,现在的他已经可以下床活动了,再休养几日就可以出院回家休养了。

6月5日,经过北京胸科医院纵隔外科团队这支被称为“刀尖上的舞者”的胸外科“特种部队”,经过5个小时的紧张手术,侵犯上腔静脉、主动脉、心包等重要脏器的肿瘤被完整切除,曾经命悬一线的老康重获新生。

胸腔发现巨大肿瘤,老康陷入绝境

48岁的老康本是一名普通职工,孩子刚刚上中学,刚到中年的他是家里的顶梁柱,每月的工资是家里重要的收入来源,日子虽然不宽裕,但一家三口其乐融融。身体结实的他很少有病痛的困扰,忽视了定期的体检。今年1月以来,老康总感觉胸闷、憋气,起初轻微的憋喘症状并未引起足够的重视,但随着时间的推移,症状越来越重,老康终于来到北京某三甲医院就诊。

检查发现老康的前纵隔出现一个巨大肿物,由于长时间的忽视,肿物已有6cm大小,且已经侵犯周围脏器。接诊医师表示肿物较大,且与心包、主动脉、上腔静脉等重要结构发生广泛粘连,难以开展手术,建议保守治疗。但保守治疗只能延缓疾病的进程,并不能达到“根除”的效果。不愿放弃希望的老康辗转多家医院,医生见了一个又一个,可依然没有找到愿意为老康冒险“开刀”的医生。频繁的诊疗已经让老康和家人身心俱疲,放弃的想法萦绕着老康和家人。

 然而,经历了山重水复的困境后,老康迎来了一丝希望。

偶然的一次机会,老康得知北京胸科医院开设了纵隔外科门诊,在纵隔巨大肿瘤救治上有专业的团队和丰富的经验。于是,抱着最后的希望,通过北京胸科医院纵隔外科门诊,住进了胸外二科病房(北京胸科医院胸外二科是纵隔外科亚专科的承担科室)。

肿瘤对化疗药物抵抗,治疗陷入瓶颈

面对老康棘手的病情,纵隔外科团队立刻组织了院内多学科会诊(MDT)。

考虑到肿瘤已侵犯心包、膈神经、上腔静脉和右侧肺组织,直接手术很可能需要切除上述受侵组织器官。多位院内专家建议先进行以化疗为主的新辅助治疗,期望能通过新辅助治疗使肿瘤缩小,降低手术难度,从而保留更多的正常组织。纵隔源性肿瘤有较大的概率对化疗等内科治疗手段抵抗,肿瘤很可能在新辅助治疗周期内继续进展,进一步加大手术难度。但为了尽可能多的为老康保留更多正常组织器官,MDT讨论决定先进行2周期的化疗,根据治疗效果确定下一步治疗方案。

在给予化疗药物输注后,肿瘤却没有停下生长的脚步,2周期的化疗并没有达到预期的效果。相反,随着肿瘤的生长,老康的症状也不断加重,已经出现了颜面及上肢的水肿,水肿的出现意味着肿瘤对上腔静脉的侵袭进一步加重,老康生命的大门正在一点点地关闭。然而放疗可能对肿瘤造成一定的杀伤,但肿物靠近心脏、大血管等重要脏器,无法进行全量放疗,但半量放疗又无法达到理想效果,老康的治疗再次陷入瓶颈。

纵隔疾病专科大讨论,为老康治疗迎来曙光

“我认为就患者现在的情况,放、化疗已经不是解决问题的根本方法,现在亟需手术解决梗阻问题;从CT上看,患者已出现心包积液、膈肌抬高和颜面部水肿,提示肿瘤已侵犯心包、膈神经和上腔静脉,且肿瘤下部已与右肺门区界限不清,很可能已经发生右肺门区域侵犯。上述临床表征预示着该肿瘤侵袭性高,目前来看需切除受侵的心包和上腔静脉,并进行修补和置换,同时有可能行右全肺切除,虽然手术难度较高,但并不是没有完整切除可能。现在需要麻醉、ICU、呼吸等科室评估患者对腔静脉置换、右全肺切除的耐受程度,外科进一步评估肿瘤侵犯范围。如果可以耐受手术,我们应该近期进行手术切除病变及受累脏器。”胸外二科主任、纵隔外科学科带头人刘志东给出了自己的意见。

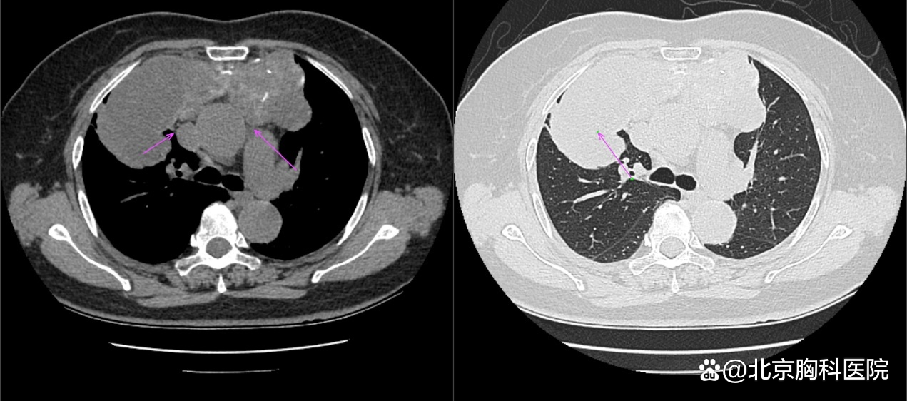
图:老康的CT片,肿物位于右侧纵隔,侵犯上腔静脉(短箭头)和主动脉(长箭头),腔静脉已出现受压性扩张

经过详细检查评估,老康的肿瘤已经长到和一个香瓜一般大小,瘤体已经充满了老康的整个纵隔。心脏、膈神经受侵,右肺门区域受侵,肿瘤已包裹上腔静脉,主动脉、气管等重要结构已严重移位,手术难度极大,风险极高。

为了制定出最科学安全的治疗方案,纵隔外科团队牵头组织全院多学科病例大讨论。

经MDT评估,老康的身体可以承受全肺切除和腔静脉置换。最终,经过多学科讨论确定于6月5日为患者进行手术。麻醉科刘伟主任团队为术前保驾护航,ICU刘秋月主任团队提供术后全方位生命支持与保障,刘志东主任亲帅纵隔外科团队实施手术,老康的治疗又迎来了曙光。

图:老康的CT片,肿物侵犯右侧膈神经,导致右侧膈肌抬高(箭头处)

纵隔外科为主导的多学科合作,共同挽救生命

又一场纵隔外科主导的多学科协同的复杂纵隔肿瘤切除手术在北京胸科医院上演。

面对这样的病例,北京胸科医院纵隔外科已经建立起了一整套完善的诊疗救治体系。

“即使我们胸科医院在复杂胸部手术方面具有丰富的经验和技术储备,但这种多脏器侵袭的肿瘤对于我们医生来说依然是个不小的挑战。纵隔内上腔静脉、主动脉、奇静脉等重要血管和膈神经、迷走神经及气管、食管等组织器官聚集,每一次操作都如同在刀尖上跳舞。开展这种手术,医生需承担极高风险,而且漫长、复杂的手术对于医生体力和精神都是巨大的消耗,这也是让很多同行望而却步的原因之一。然而对于患者来说,手术是唯一挽救生命的希望,如果不手术,他的生命可能很快就会消失,作为一个医者,我和我的团队愿意为患者奋力一搏。”刘志东主任在最后一次术前讨论中发言。

带着这样的信念,胸外二科主任刘志东在征得家属的同意后,再次向复杂的纵隔肿瘤发起挑战。

手术当天,医院麻醉科主任刘伟也带领团队做了充足的术前准备,这么大的手术对麻醉的团队的挑战同样严峻,麻醉药量的调整,术中生命体征的维护,术中肺组织的保护等等,都需要麻醉师对这类手术有丰富的合作经验。

图:老康的CT片,肿瘤下部侵犯右侧肺门区域,右肺支气管、血管受侵(箭头处)

胸腔内组织器官受侵严重,手术操作举步维艰

一切准备就绪,纵隔外科团队刘志东主任、周世杰副主任和苏崇玉医生打响了这场“硬仗”。

尽管在术前大家对术中可能发生的情况都做了假设,并提出了充分应对方案,但打开胸腔后,老康的情况还是比想象的复杂。进胸后发现病变位于右前纵隔,大小约6cm×5cm×5cm,质硬,胸膜广泛膜样粘连,只能逐层分离组织方能暴露解剖结构。紧密的粘连使操作空间变得极其有限,每一个小小的操作都如同在刀尖上跳舞。虽然手术操作困难重重,但多年技术的积累和纵隔外科团队紧密地配合使手术依然按部就班顺利进行。首先游离左、右无名静脉汇合区,并向下方沿上腔静脉游离至右心耳根部,发现肿物与心包粘连紧密,果断切除受侵犯心包。并向右侧游离肺组织,发现右肺严重受侵,已无法保留,遂逐渐游离肺门结构,并依次切断闭合动、静脉,切除右奇静脉,离断右主支气管,完整切除右全肺及部分纵隔肿瘤。

手术惊心动魄,纵隔外科团队与死神赛跑,快速置换受侵血管

切除右侧受累结构后手术视野清晰了很多,但更大的挑战摆在刘志东主任和纵隔外科团队成员面前,肿瘤已经包裹住了上腔静脉,粘连紧密,已无法将肿瘤从上腔静脉上剥离。遂请求麻醉团队以冰帽减低中枢神经温度,保护颅脑,并以无创血管钳阻断上腔静脉,同时记录阻断时间。上腔静脉是上肢、颅脑的主要回流血管,人体对上腔静脉阻断的耐受时间仅有半个小时,长时间的阻断可能造成不可逆的颅脑损伤,也就是留给刘志东主任和纵隔外科团队的操作时间仅有30分钟。

长时间的磨合使整个团队对此类情况的处置已到达炉火纯青的地步,切除受侵犯的上腔静脉,以人工血管以端端吻合方式置换,以肝素盐水排出人工血管内空气,高难度动作一气呵成。松开阻断钳,阻断解除,巨大的血流使血管迅速膨胀,观察人工血管通畅性良好,无移位、扭转,吻合端无漏血,腔静脉置换成功。

12分钟,仅仅12分钟刘志东主任率领的纵隔外科团队就完成了对受侵上腔静脉的置换,远远低于规定的30分钟,这关键的12分钟解决了老康受阻数月的腔静脉,原本浮肿的颜面也逐渐恢复了棱角。

图:术中对人工血管进行吻合

图:刘志东主任在术中精细操作

术后康复顺利,纵隔外科团队再次挽救生命

虽然艰难,但纵隔外科团队扎实的基本功、精密的配合,完美地完成了老康纵隔内肿瘤切除和受侵上腔静脉的置换,最终,在北京胸科医院多学科团队的共同努力下,老康平稳度过了术后危险期,已从ICU转回病房。

如今的老康,呼吸变得顺畅了,颜面部水肿也消退了,劫后重生的他,嘴角常常挂满笑意。老康告诉我们,这次经历让他更加珍惜生命,珍惜身边的家人和朋友,不管未来如何,他都将以更加乐观从容的态度去面对,去迎接挑战。

对于老康现在的状态,刘志东主任说:“手术成功表明我们纵隔外科团队的努力没有白费。虽然术后康复、乃至后续的辅助治疗还有很长一段路要走,但是及时的手术对解除梗阻症状、挽救生命至关重要。虽然现在看老康的身体逐渐康复,已经可以下地活动,但如果没有手术,难以想象今天病情会进展到什么程度。如果不能及时切除肿瘤,血管及后续可能发生的气道梗阻会使患者十分痛苦,患者可能在巨大的痛苦中走向生命的终点,这种情况我们医生不能接受的,也是我们纵隔外科团队建立的意义。”

巨大肿物横跨左右胸腔,纵隔外科团队再迎挑战

虽然逐渐恢复的老康是北京胸科医院纵隔外科团队与死神搏斗再次取得胜利的代表,但纵隔外科要面对的挑战依然严峻。

就在老康手术后一周,纵隔外科团队又完成了一例前纵隔巨大肿物切除术。

69岁的侯阿姨在2年前就在体检中就发现纵隔出现肿物,但当时的接诊医师建议观察,并未重视,再加上侯阿姨没能定期复查,直到出现憋喘的症状才到医院复查就诊,此时肿物已长到约12cm×14cm×10cm大小了。就诊了多家医院,都未能找到愿意为她手术的医生,经病友介绍,侯阿姨来到了北京胸科医院,挂上了纵隔外科门诊的就诊号。

图:侯阿姨的CT片,肿物主要位于右侧纵隔,波及左侧,压迫右肺上叶(右图长箭头),但与上腔静脉(短箭头)和主动脉(长箭头)界限清晰

对于侯阿姨的病情,刘志东主任根据CT检查做出了精确的判断:“虽然这个患者肿物比之前老康的更大,但与周围组织尤其是主动脉、上腔静脉、心包等界限清楚,并未发生侵袭,右肺上叶主要为压迫性肺不张,整体手术难度低于老康。”在刘志东主任的带领下,纵隔外科团队又向纵隔肿物发起了挑战。经术中探查,病变位于前上纵隔,大小约12cm×14cm×10cm,质地较硬,侵及右肺上叶,且右肺上叶部分肺出现肺不张、肺实变。在此情况下,刘志东主任团队仅用30分钟,就完成了纵隔肿瘤的切除,纵隔外科团队再次创造了奇迹。

图:刘志东主任帅团队对患者进行手术(右一:刘志东主任;左一:黄少君主任医师;左二:史抗医师;右二:王宇轩医师)

图:纵隔外科团队进行手术“扫尾”工作(右一:黄少君主任医师;右一:史抗医师;左二:王宇轩医师)

据悉,自今年3月底纵隔外科门诊开诊以来,已接诊上百例此类病例,本文中的两个病例仅是其中比较典型的病例之一。

由于纵隔中重要脏器密集、手术难度大,开展此类手术犹如在刀尖上跳舞,很多胸外科医生对纵隔病变的手术较为抵触。在北京胸科医院以刘志东主任为首的纵隔外科团队本着以患者为中心,一切为了患者的服务理念,着力建设纵隔外科亚专科,抽调骨干力量专攻纵隔复杂肿瘤诊断及外科治疗,希望通过“刀尖上的舞者”们的不懈努力,更多地为此类患者带来生的希望。


作者:

北京胸科医院


打开APP阅读全文
特别声明:本文为北京日报新媒体平台“北京号”作者上传并发布,仅代表作者观点,北京日报仅提供信息发布平台。未经许可,不得转载。