摔一跤竟会导致肋骨骨折?看胸外科医生如何微创接骨
2023-09-04 21:48 来源:  北京号
关注

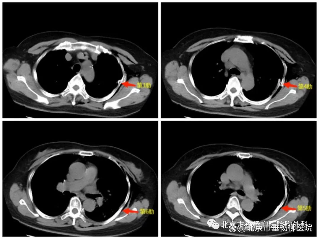
患者,女性,65岁,主因“摔伤致左侧胸部疼痛伴憋气半天”入院。患者半天前不慎摔倒,左侧后背部着地,伤口即感胸背部疼痛,伴有胸闷、憋气,就诊于我院,完善胸部CT检查,提示左侧3-6肋骨骨折,左侧气胸。急诊行左侧胸腔闭式引流术,患者骨折部位位于左侧肩胛骨后,科室商议后决定行胸腔镜微创骨折固定术。2023年8月4日全麻下行电视胸腔镜下肋骨骨折内固定术,术中固定第3-5肋,手术后恢复顺利,3天拔管出院。

胸部CT:红色箭头处为骨折部分

疾病科普

肋骨骨折是最常见的胸部损伤,在所有胸外伤中占比 50% 以上。多发或多根多处肋骨骨折产生反常呼吸运动会严重影响呼吸循环稳定,危及生命安全,因此往往需要手术治疗。传统的肋骨骨折切开复位内固定手术需要较大切口,手术创伤大,并发症多,目前微创技术治疗肋骨骨折可在一定程度上弥补上述不足,在临床上逐步广泛应用。尤其对于特殊部位的骨折(如高位肋骨骨折、肩胛骨覆盖区域肋骨骨折),胸腔镜辅助下肋骨骨折内固定术具有明显优势。

总结起来,胸腔镜下肋骨骨折具有以下优势:①定位清晰,切口小,可以非常容易地处理既往临床上难以显露的肩胛下肋骨骨折和后肋骨折,固定效果牢靠。② 对于多发肋骨骨折,单操作孔就可以解决,并且通常切口不超过 5cm,符合微创原则。③记忆合金特有的物理学特点,形成持续的加压功能,有效避免了松脱的风险。④对于合并胸腔内问题,如肺大疱、肺肿瘤、肺破裂以及各类胸腔出血可同期行手术治疗,优势明显。

但是,微创技术治疗肋骨骨折也存在一些不足之处,例如对术者胸腔镜技术要求较高等特点。[2]因此对于不同患者病情,选择合适的手术方式,才能够给患者带来最大获益。

[1]Ho XN, Wee IJ, Syn N, Harrison M, Wilson L, Choong AM. The endovascular repair of blunt traumatic thoracic aortic injury in Asia: A systematic review and meta-analysis. Vascular. 2019;27(2):213-223。

[2][2]金璐明,孙清宇,黄立鹏,等. 胸腔镜肋骨骨折复位内固定术治疗多发肋骨骨折疗效观察[J]. 中国临床医生杂志,2023,51(4):472-474. DOI:10.3969/j.issn.2095-8552.2023.04.027.!

本文仅限于公益科普,外伤导致的肢体剧烈疼痛请及时就医。部分学术内容来源于文献资料,侵删。

审核:王贺 崔健校对:孟莹文稿:王晓编辑:高东东

作者:

北京市垂杨柳医院


打开APP阅读全文
特别声明:本文为北京日报新媒体平台“北京号”作者上传并发布,仅代表作者观点,北京日报仅提供信息发布平台。未经许可,不得转载。