消化内科黎俊:认真对待每一位患者
2023-09-14 16:38 来源:  北京号
关注

消化内科现位于门诊二层,常年有五位医生出诊。我们承担了门诊工作,还有急会诊、病房会诊、碳13呼气试验及肝弹性检查。虽然我们每天的门诊量不是全院最大的,但几乎是门诊最晚吃午饭、最晚下班的科室。以至于经常听到这样的话,连消化内科医生都出来打饭了,看来时间不早了。偶尔能按时下班,都会让我们觉得是个惊喜。

别看我们消化内科只是一个普通内科,但是经常会发生一些惊心动魄的事情。还记得2016年7月的一天,那时候还在老门诊楼,我们科在门诊三层,一个诊室里设有四个诊位,诊室里挤满了患者。

▲旧门诊楼搬迁前合影

那天我接诊了一位年轻的女性,主诉是恶心、呕吐2天,在社区医院输液治疗,症状没有缓解。既往体健。恶心、呕吐是消化内科最常见的主诉,但是除了消化道疾病之外,全身疾病均可引起,比如妊娠、颈椎病、美尼尔病、酮症、心衰、心梗、高血压等等。经过问诊,初步排除其他系统疾病。患者不经意提到“自己有时有点懵”,这句话引起了我的注意。经过仔细的查体,发现患者左侧季肋部可见一小块的淤斑。进一步问诊得知,患者两天前腹部无故撞伤,由于不是很重,所以没有当回事。我怀疑患者可能有腹部脏器损伤,立即行血常规、急诊腹部B超检查,在申请单上提示超声检查医生注意有无脏器破裂。
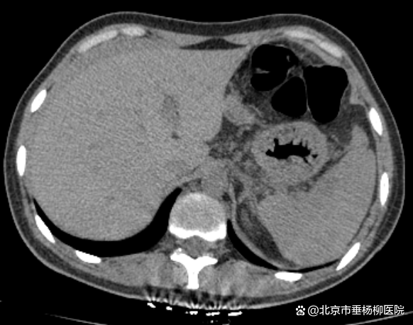
检查结果回报,血常规提示血色素94g/L轻度下降,急诊B超显示肝周可见低密度影。立即联系普外科,用平车将患者送去行腹部CT检查,放射科报告危急值:发现脾脏密度不均,腹腔积液,考虑脾破裂。普外科立即给患者办理入院手续,郭春海及任杰医生加班为患者行急诊腹腔镜探查手术,术中见腹盆腔内大量积血及血凝块,脾脏下极破裂,行脾修补术及自体血回输。术后患者病情稳定,顺利出院。

▲腹部CT提示脾脏密度不均,肝周积液,考虑脾破裂

整个诊治过程顺利、及时,充分体现了各科室间的团结协作。我们为这位患者捡回一条命感到很高兴,但是更多的是后怕。脾破裂是致命的,车祸及明显外伤引起的急性脾破裂不容易漏诊。而这位患者受外伤小,自己都未引起重视。患者脾脏裂口小、慢性出血,没有明显的失血表现,症状不典型。如果当时没有发现患者身上有淤青,没有细致的查体和问诊,是非常容易漏诊的。而一旦漏诊,这位年轻的患者性命不保!患者也许并不知道,自己曾经离死亡很近,也可能意识不到,医生们挽救了她年轻的生命。像这样的故事还有很多,看似风平浪静的消化内科,其实是病情错综复杂、诊治难度高的科室之一。这是因为腹部脏器多,全身各个器官的疾病都可能出现消化道症状。在我们科,经常有因腹痛、恶心、纳差等症状就诊的患者,最后诊断为急性阑尾炎、消化道穿孔、早孕、宫外孕、急性心肌梗死、腹主动脉瘤、肺结核、糖尿病酮症酸中毒、肾结石、输尿管梗阻等。

经常能看到消化内科医生与外科医生沟通,为了及时追踪患者的结果在放射科穿梭的身影。有的患者病情复杂,需要花费更多的时间,所以尽管我们科门诊量不是全院最大的,却经常出现诊室内外站满了等候的患者情景。在门诊经常听到患者评价说,垂杨柳医院的医生还是不错的。听到这句话,我们倍感欣慰,感谢患者给予理解和耐心。

▲2021年元旦新门诊楼搬迁合影

现在我们已经搬入了宽敞明亮的新院区,工作环境和医院的医疗条件明显改善,患者的就诊体验明显提升。我们也即将迎来医院建院50周年院庆,在这样的新的历史时期,我们要继续努力做好各项临床工作,认真对待每一位患者,提高医疗服务质量。同时打造我们的人才梯队,发展我们的学科品牌。今后,我们将立足学科建设,提高医疗实力,为实现“三级甲等医院”的垂医梦贡献自己的力量。我们坚信:垂医明天更美好!

图文| 黎俊

美编| 黎俊

校对| 孟莹

审核| 董丽凤

编审| 王贺


作者:

北京市垂杨柳医院


打开APP阅读全文
特别声明:本文为北京日报新媒体平台“北京号”作者上传并发布,仅代表作者观点,北京日报仅提供信息发布平台。未经许可,不得转载。