医患故事丨青年突发心梗成功获救,专家提示:劳累可能是年轻人发生心梗的主要原因
2024-02-05 12:13 来源:  北京号
关注

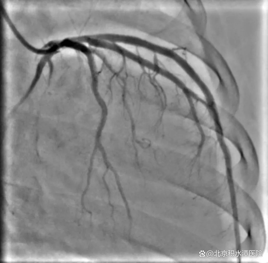
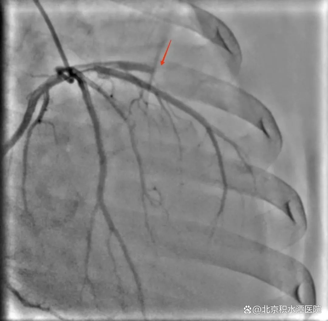
春节前夕,一位年轻的快递小哥在派送完最后一单快递后突感胸闷胸痛,被外院诊断为心肌梗死,情况万分紧急!为尽快手术治疗,患者被救护车转运至北京积水潭医院新龙泽院区。经过医护人员的全力救治,最终通过急诊介入手术成功挽救了他的生命。

转运途中,患者突发室颤,经过医护人员除颤和抢救,患者才恢复意识。抵达新龙泽院区后,医院立即启动了急性心梗抢救团队,专家们进行了紧急会诊和手术准备工作,患者被紧急送往导管室,通过急诊介入手术(PCI)进行了血管再通。手术过程中,由于再灌注损伤,术中心脏室颤再次发作,医生们沉着冷静进行除颤和抢救,心律稳定后,成功地为患者疏通了被堵塞的血管,改善了心肌缺血现象,挽救了患者生命。

温馨提示

专家提示,过度劳累容易引发多种疾病,很可能带来无法挽回的严重后果。因此,生活中应注意劳逸结合,尤其要避免熬夜等不健康的生活方式。一旦感到身体不适,应该及时就医,避免错失最佳的治疗时间。

供稿丨心内科


作者:

北京积水潭医院


打开APP阅读全文
特别声明:本文为北京日报新媒体平台“北京号”作者上传并发布,仅代表作者观点,北京日报仅提供信息发布平台。未经许可,不得转载。