三次生死抉择!地坛胸外团队重建胸壁,修补残缺的“风箱”
2024-03-05 17:50 来源:  北京号
关注

“一鼓作气,再而衰,三而竭”,这是大家都非常熟悉的《曹刿论战》中经典的名句。第三次面临生死抉择,面对肿瘤复发的恐惧,张阿姨对未来生活的希望一次次被打击。六年前短期内两次手术的痛苦回忆,再次涌上心头。

2018年,张阿姨发现胸壁长了一个包块,随后在当地医院做了手术,术后病理诊断为未分化多形性肉瘤。这是一种恶性程度比较高的软组织恶性肿瘤,术后半年就复发了,便进行了第二次手术。为了彻底切除病灶,这次手术不仅切除了肿瘤,还切除了肿瘤侵犯的胸肌和右侧第三肋、第四肋和肋软骨的一部分。虽然肿瘤控制住了,但是前胸壁缺损留下了一个拳头大小的“坑”,每次一呼吸,那里就像风箱一样来回“扇”动。近半年多来,她发现胸口部位又长了一个包块。因为害怕手术,老人家一直瞒着孩子,直到家属无意中发现是肿瘤复发。一家人这才慕名来到地坛医院胸外科就诊,杨龙海副主任热情接待了他们。在就诊过程中,张阿姨一直非常担心:一方面,之前做了两次手术,却还是复发了,再做手术还有用吗?另一方面,手术让胸壁缺了一大块,如果再做手术,会不会让这个“坑”更大了?

杨龙海仔细询问病史及体格检查,并仔细阅读患者的CT片子,跟患者和家属解释道:“您放心,按照目前的情况,能够通过我们的手术完全彻底切除肿瘤,而且现在胸外科技术越来越成熟了,不仅能切除病变,还能够把之前的‘坑’填上”。在杨龙海耐心细致的介绍后,患者和家属打消了此前的顾虑,决定手术治疗。

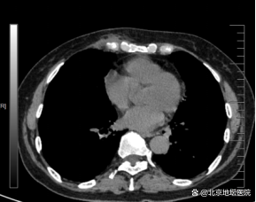
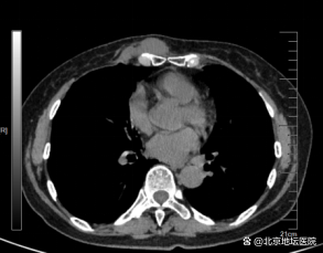
张阿姨入院后,胸外科团队尽快完善了各项术前检查。经胸部CT检查显示,复发的肿瘤位于胸骨下端右侧,与周围组织分界不清,甚至已经侵犯胸骨和临近肋骨。为了确保最好的手术效果,杨龙海副主任带领团队通过认真的术前讨论,并与麻醉科团队经过科学评估,制定了完善的手术计划。

术前检查

手术当天,杨龙海副主任主刀,麻醉科程灏主任、牛少宁副主任和宋焱护士长带领的麻醉科手术室团队为手术顺利进行保驾护航。手术彻底切除了软组织肿瘤、肿瘤侵犯的部分胸骨以及临近肋骨,同时通过肋骨板等胸壁重建人工材料,不仅修补了此次手术的胸壁缺损,还填补上了上次手术留下的“坑”,撑起了塌陷多年的胸壁,恢复了胸廓的完整性,在改善外观的基础上也恢复了胸廓原有的功能。胸壁不仅能保护胸腔内心脏、肺脏、食管等重要的循环、呼吸和消化系统脏器免受外力伤害,还对维持呼吸和循环系统的正常功能发挥着重要作用。

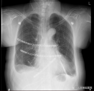
术后影像检查

在胸外科医护团队精心的治疗和照顾下,张阿姨术后恢复顺利,术后第一天就下床活动了,复查胸片提示胸廓重建效果好,肺复张良好。

目前,患者已顺利康复出院。张阿姨及其家属也对医院的服务非常满意,特意为胸外科医护团队送来锦旗,表达真诚的谢意。胸外科团队将持续关注张阿姨的康复情况,随时提供优质的医疗服务。


故事里的科普
胸壁肿物

胸壁肿瘤是发生在胸壁的良恶性肿瘤的统称,其涉及的范围很广,包括原发性的良恶性肿瘤和继发性的转移瘤,同时还包括了肺、纵隔、胸膜或乳房等邻近器官肿瘤的局部侵袭、非肿瘤感染性或炎性疾病,甚至是全身性疾病的局部表现。胸壁肿瘤以转移瘤和邻近器官的局部侵袭更常见,原发性胸壁肿瘤仅占所有胸壁肿瘤的5%。原发性胸壁肿瘤可根据其起源部位(骨或软组织)进行分类,并进而根据其良恶性和病理类型进行分类。原发性胸壁肿瘤中约 60% 为恶性病变,而良性肿瘤亦可表现出潜伏性、活动性或侵袭性等多种形式。

根据发病部位可将胸壁肿瘤分为胸骨肿瘤、肋骨肿瘤以及锁骨、肩胛骨肿瘤。胸骨肿瘤中恶性病变更多见,最常见的病理类型为骨肉瘤和软骨肉瘤。肋骨肿瘤约占全身骨肿瘤的 5%-7%,多起源于骨骼、软骨、骨髓、血管或神经组织,肋骨良性病变中以纤维增生异常和软骨瘤最为常见,恶性病变中以软骨肉瘤和骨肉瘤最为常见;部分类型的肋骨肿瘤具有特定的好发部位。肩胛骨和锁骨的肿瘤发病率较低,但骨肿瘤所有类型均可以在这两个部位发生。

胸壁肿瘤的症状和体征没有特异性,取决于肿瘤的部位、大小、生长速度、与邻近器官的关系等密切相关。早期症状多不明显,可表现为胸壁包块、胸壁疼痛或压迫周围组织症状,部分患者有非特异性全身症状。胸壁肿瘤的诊断,通常需要进行影像学检查和实验室检查,例如X线检查、CT扫描、MRI和组织病理学检查等检查,组织病理学检查是诊断胸壁肿瘤的金标准。可以帮助医生确定肿瘤的大小、位置、与周围组织关系、性质及恶性程度等。

对于绝大多数胸壁肿瘤,手术切除是最常用的治疗方式,根据不同肿瘤类型进行新辅助或辅助治疗能一定程度上延长生存时间、提高生存率。大范围切除胸壁造成的巨大胸壁缺损,需要使用硬质材料进行重建,以避免发生反常呼吸和慢性呼吸衰竭。

传统观点认为,胸壁缺损直径>5cm时需要使用硬质植入物重建,以防止发生胸壁浮动、反常呼吸和/或呼吸衰竭,肩胛骨后方的缺损直径>10cm 时有必要对其进行重建。胸壁重建的目的包括:

(1)恢复胸廓硬度和完整性;

(2)防止肺疝和反常呼吸;

(3)防止肩胛骨刺入胸腔(尤其第5~6 肋骨切除后);

(4)维持胸壁外观效果。

理想的胸壁重建材料需要满足以下要求:

(1)具有足够的硬度消除反常呼吸;

(2)具有足够的弹性配合胸廓的活动度;

(3)物理和化学惰性;

(4)允许组织长入;

(5)射线可穿透性;

(6)具有一定的抗感染能力;

(7)价格低廉。临床可选择的重建材料种类繁多,对重建材料的选择更多基于术者的经验和个人倾向。

目前临床更加推荐“三明治”结构的胸壁重建方式,包括对胸膜、骨性结构和软组织分别进行重建。近年来,随着3D打印人工材料的完善,可以为患者定制个体化重建材料,胸壁重建效果也越来越理想。

在此提醒广大患者朋友,如果无意间发现胸壁上长了“包块”,或者觉得胸部总是疼痛,一定要及时就医,不要因为一时的疏忽大意或者担心手术影响美观,错过最佳的治疗时机。


学科带头人介绍:


杨龙海

北京地坛医院胸外科副主任(主持工作),医学博士、副主任医师。毕业于北京协和医学院,临床工作20余年,擅长胸部常见疾病及各种疑难疾病的诊断及外科治疗,尤其擅长胸部肿瘤如肺癌、食管癌及纵隔肿瘤的微创外科治疗,具有扎实的手术功底,参与胸外科三四级手术4000余例,其中主刀独立完成1500余例,主刀多例高难度四级手术,临床经验丰富,能够熟练运用胸部肿瘤国内外先进的治疗理念对患者进行个性化治疗:如肺癌及食管癌的规范化治疗理念、微创及精准外科治疗理念、术后快速康复理念等,以期达到最佳治疗效果。在国内外期刊发表论文10余篇,其中Q2区SCI论文2篇,参编著作4部,其中副主编2部。

学科名片

胸外科

首都医科大学附属北京地坛医院胸外科诊治范围:

1、肺部良恶性疾病:如肺结节、早期肺癌、局部晚期中心性肺癌、肺转移瘤、自发性气胸肺大疱、肺脓肿、肺结核、肺隔离症等,良性肿瘤如肺错构瘤、硬化型血管瘤、炎性假瘤、支气管囊肿等;

2、食管良恶性疾病:如食管、贲门恶性肿瘤、食管平滑肌瘤、食管憩室、食管囊肿、贲门失弛缓症、食管裂孔疝、气管食管瘘、食管良性狭窄等;

3、纵隔疾病:如胸腺瘤、胸腺瘤合并重症肌无力、胸腺癌、畸胎瘤、淋巴瘤、神经源性肿瘤、纵隔囊肿等,纵隔感染脓肿、纵隔气肿等;

4、气管支气管疾病:气管狭窄、气管支气管肿瘤如类癌、腺样囊性癌、粘液表皮样癌等;

5、胸壁及胸膜疾病:如胸壁神经纤维瘤病、胸壁脂肪瘤、脂肪肉瘤、胸壁转移瘤、胸骨及肋骨、肋软骨肿瘤、胸膜间皮瘤、胸膜转移瘤,不明原因胸腔积液、乳糜胸、脓胸、胸壁结核等,胸壁畸形如漏斗胸、鸡胸等;

6、胸部外伤:如开放性及闭合性胸外伤、多发肋骨骨折、连枷胸、气管支气管破裂、肺裂伤、张力性气胸、创伤性血气胸、创伤性膈疝、食管破裂等;

7、其他疾病:如手汗症等。

出诊时间:

专家门诊:每周三 上午

撰稿:胸外科 杨龙海 马波波 查鹏


作者:

北京地坛医院


打开APP阅读全文
特别声明:本文为北京日报新媒体平台“北京号”作者上传并发布,仅代表作者观点,北京日报仅提供信息发布平台。未经许可,不得转载。