养生堂|《小心伤脑的“慢刀子”》
2024-03-28 21:30 来源:  北京号
关注

【专家】

黄宇明:首都医科大学附属北京地坛医院神经医学中心 主任医师

冯恩山:首都医科大学附属北京地坛医院神经医学中心 主任医师

【关键词】血管慢性闭塞、慢性脑缺血、高血压、高血糖、高血脂、失语、黑矇、肢体抖动、头晕、认知功能减退、失语、单侧流口水、面部抽搐

急性脑梗发病突然、病情危急、致死率高,而庆幸的是发生的时候,我们的身体也会警铃大作提示危险的到来,从而获得逆转生机。

但是却有一种脑梗会悄然而至,不凶猛、不紧急、慢悠悠、甚至一杯水就能“缓解症状”,今天来分享的这位阿姨就掌握了这样一种神奇的能力,在2年前出现了头晕和手抖的时候,她神奇的发现,只要喝点水就能缓解,一杯普普通通的水为什么会有这么神奇的效果?

究竟这种慢性子的脑梗是什么?这样的危险脑损伤是否也已经潜伏在我们每个人身边而不自知呢?

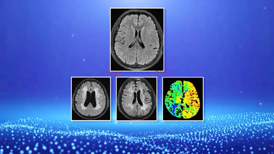
专家指出,慢性缺血其实直观可见,我们的大脑也有自己的“天气预告”。

脑部不同的颜色区域分别代表脑血管的供血状态,很多时候这种慢性闭塞引发的缺血我们根本就感觉不到,这种慢性缺血的出现不会直接发生紧急状态,甚至缓慢的缺血还会促使侧支循环建立,进一步出现代偿去补救脑部的缺血,但是“慢刀子”更伤人,这种自救的同时也会掩盖脑血管闭塞的问题,让疾病一步步走到严重阶段,所以这种慢脑梗比急性脑梗更危险!

这个时候捕捉慢性脑缺血的信号就显得尤为重要,专家带来三个测试就能主动探查脑部的缺血状态,测试到底怎么做?哪些人群是脑动脉闭塞的高危人群?

作为外科手术中难吭的硬骨头,专家带来直观的脑血管打通手术,亲眼目睹如何疏通大脑“生命线”,那究竟什么样的人群需要去主动开通?

哪些人群需要长期关注自己的脑血管状态?更精彩内容,敬请关注今晚17:25分播出的《小心伤脑的“慢刀子”》。

【专家出诊时间】

冯恩山 出诊信息:周三上午 知名专家号

备注:突发原因导致门诊时间、出诊地点、门诊类型(普通、专家或特需门诊)、挂号费用的改变,请以医院当日公布为准。


作者:

BRTV北京卫视


打开APP阅读全文
特别声明:本文为北京日报新媒体平台“北京号”作者上传并发布,仅代表作者观点,北京日报仅提供信息发布平台。未经许可,不得转载。