
凭借感觉神经元,人类得以感知冷热、疼痛、触压等外部刺激。近日,北京师范大学、广东省智能科学与技术研究院、中国科学院生物物理研究所等单位科研人员合作,揭示出感觉神经元发育机制,并基于此构建了人类背根神经节类器官,有望为慢性疼痛等疾病提供新型药物筛选工具。研究成果近日在国际学术期刊《细胞》上发表。

新华社报道:我国科研团队成功在体外构建感觉神经复杂体系

人类背根神经节位于脊柱旁,是包含多种感觉神经元的复杂体系。当人体皮肤受到外部刺激时,神经元末梢产生电信号,电信号首先传导至背根神经节,由这个区域的多种神经元进行感觉信号综合处理,最终经脊髓到达大脑,使人产生相应的感知。然而长期以来,人类感觉神经元的发育机制如同一个“黑匣子”,科研人员一直尝试揭开它的“面纱”。

人类背根神经节(左)和人类背根神经节类器官(右)的细胞组成对比图
北京师范大学心理学部认知神经科学与学习国家重点实验室吴倩教授介绍,科研团队创新利用单细胞测序和空间转录组技术,分析了人类感觉神经元发育各阶段所有细胞的基因表达,发现不同感觉神经元的产生和分化由多层级信号通路和转录因子联合调控,最终探清了相关发育机制。
中国科学院院士、广东省智能科学与技术研究院院长张旭表示,该研究明确了人类感觉神经元的多样性,团队通过模拟其发育机制,构建了背根神经节类器官,成功在体外模拟了人类感觉神经复杂体系的生长发育。“有了这个类器官,我们就能在体外检测相关药物的有效性。”
该团队成员、新基石研究员王晓群教授说,未来将持续深入研究,希望推动这一成果从实验室走向临床应用,助力慢性疼痛、瘙痒症等疾病的药物研发,赋能麻醉镇痛等医学技术的创新发展。


人类背根神经节时空发育机制和类器官模型构建
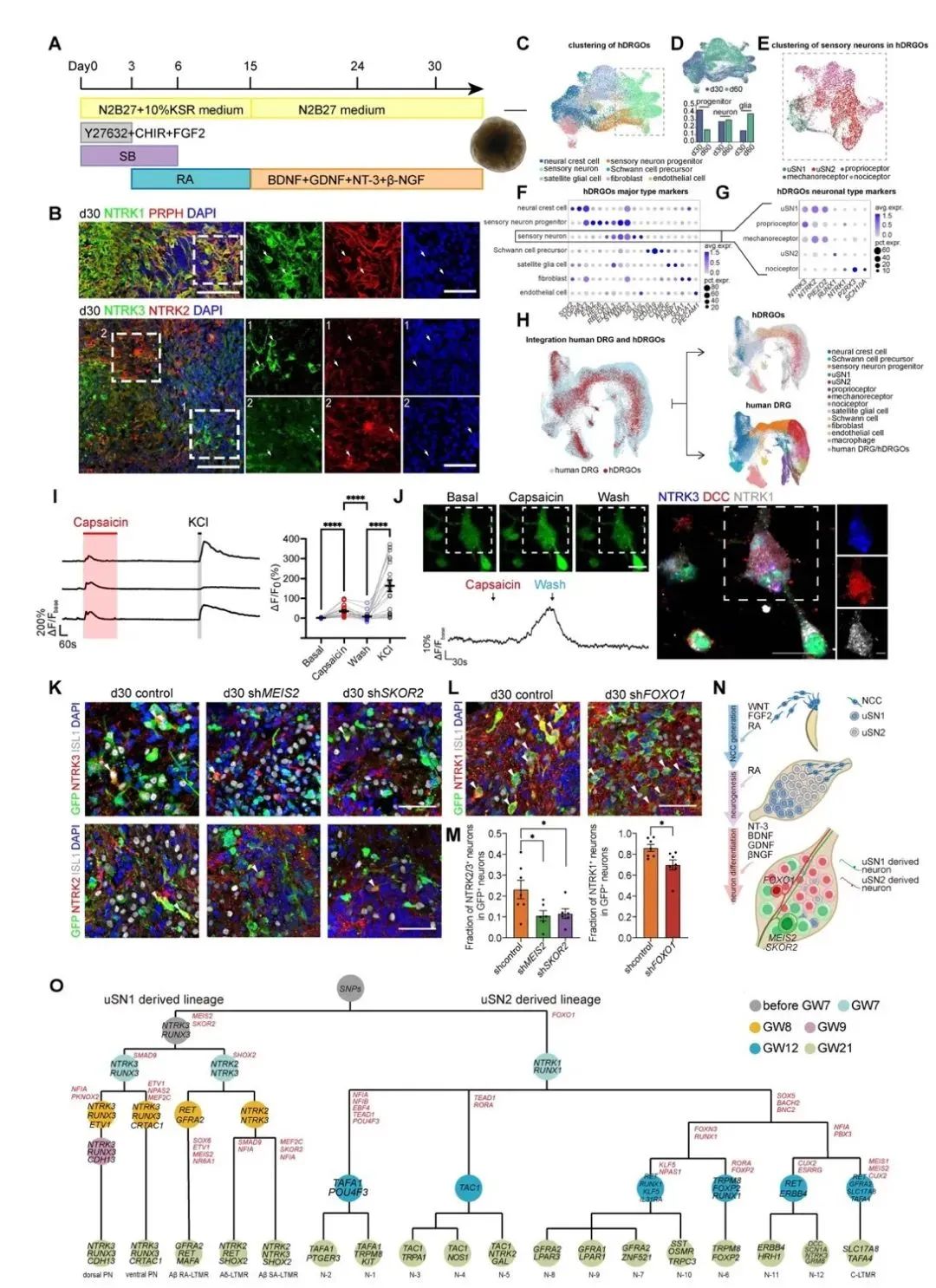
为了构建人类DRG类器官模型,研究团队使用基于单分子成像的单细胞空间转录组技术TF-seqFISH(Transcription Factor sequential Fluorescence In Situ Hybridization)(1,2),并结合单细胞转录组测序技术,对妊娠早中期人类胚胎DRG发育进行全面解析。研究发现NCC经历两个神经发生的关键时间,并前后产生两种仍未特定分化的感觉神经元(unspecialized sensory neuron, uSN),uSN1和uSN2,这些未特定分化的神经元未来会进一步受到转录因子的调控,分别分化为大直径的感觉细胞和小直径的感觉细胞,是感觉神经元多样性的基础。通过解析早期NCC谱系分化轨迹,研究人员深入阐明了参与uSN命运决定过程的外部信号通路和内部转录因子调控的联合机制。

神经元分化的信号调控机制
基于以上多层级信号通路在DRG神经元命运决定中的重要作用,研究人员通过时序性的加入不同的信号因子,成功的构建了功能性背根神经节类器官(hDRGOs),在体外复现了多能干细胞-NCC-感觉神经祖细胞-感觉神经元的分化过程,其中包括人类背根神经节中主要三类感觉神经元。这些神经元从发育轨迹到基因表达,都与人DRG的发育非常相似。此外,这些感觉神经元呈现假单极形态,并对辣椒素的刺激有相应的生理响应,进一步证明该DRG类器官可以获得具有一定功能的感觉神经元。
通过物种间比较,研究人员发现人类和小鼠在感觉神经元的发育进程、基因表达谱和细胞亚型上均存在差异。研究发现一类在人类DRG中特异富集的伤害感受器亚型,以DCC/NTRK3/NTRK1基因的表达为特征,这一群体在发育和成年的人DRG中均特异性存在。此外,研究人员发现hDRGOs中也存在该类感觉神经元亚型,进一步联合钙成像,证明了这类感觉神经元可以被辣椒素特异激活,通过体外实验明确了这类细胞是伤害感受器的一种亚型。此外,研究人员还利用DRG类器官模型验证了多种转录因子在调控感觉神经元分化谱系中的重要作用,表明类器官在人类感觉神经元发育和功能研究中具有重要的价值。

人背根神经节类器官
该研究基于对人类DRG发育过程的解析,成功建立了人类背根神经节类器官模型,在体外模拟感觉神经元多样性和功能建立过程,并应用类器官探究了人类感觉神经元发育调控和人性进化上的特征。此研究为人类胚胎背根神经节研究提供了重要的时空转录组数据,建立的人类背根神经节类器官模型对感觉神经元发育和相关疾病的研究具有重要的意义。

点击跳转论文链接


-bnuweixin-
来源:新华社、心理学部
排版: 孙诗涵
责任编辑: 姜思宇
投稿/加入我们:xwzx@bnu.edu.cn
