
近日,首都儿科研究所新生儿外科收治了一名罕见的双侧叶内型隔离肺患儿,通过一次微创手术同时切除了两侧病变,国内外罕有报道。
小鱼在胎儿期(妈妈孕22周)就被诊断为双侧先天性肺气道畸形(CPAM),也称为肺囊腺瘤,是先天性下呼吸道畸形中最常见的类型。小鱼妈妈到新生儿外科马立霜主任专家团队门诊咨询后,对宝宝出生后的治疗有了信心。此后,小鱼两侧肺的病变在胎儿期没有进行性增大,顺利降生后也没有明显呼吸道症状。马立霜主任建议等孩子大一些,争取一次手术同时治疗双侧病变,这也是家长理想的手术方案,可以让孩子少受一次罪。随后,小鱼一直定期在新生儿外科门诊进行随诊。
小鱼一岁时,准备接受手术,但术前的胸部增强CT结果却有些出乎意料,双侧肺内确实见到了囊性病变,但是有一支来自腹主动脉分支的异常动脉给两侧病变供血,也就是说,小鱼的病是隔离肺,而且是双侧叶内型隔离肺,这种情况极为罕见,比起叶外型隔离肺手术难度要大很多。马立霜主任带领张艳霞主治医师反复与放射科医生探讨,确认异常血供的走行、来源以及双侧隔离肺组织的位置与范围。经过科室成员的讨论,大家最终一致同意为小鱼进行胸腔镜双侧隔离肺切除术。

术前增强CT见源自腹主动脉的异常动脉分两支分别进入两侧胸腔的隔离肺
手术由马立霜主刀,张艳霞为助手,麻醉科副主任医师陈刚了解手术方案后,决定先进行右单肺通气、左侧胸腔镜手术。术中采取右侧卧位,胸腔镜下进行左侧隔离肺所在肺段切除,整个过程非常平稳。左侧放置胸腔引流管,伤口缝合好后,患儿改左侧卧位左侧单肺通气。这时,患儿的血氧饱和度仅85%左右,潮气量偏低。孩子能耐受接下来的操作吗?大家都有些担心,如果仅切除一侧隔离肺,另一侧隔离肺的血供有可能受到影响,术后可能出现病变缺血坏死、继发感染,那样就会非常麻烦,带来更严重的后果。马立霜非常笃定,让大家少安毋躁。果然,观察了约20分钟,孩子的血氧饱和度慢慢升到了95%,潮气量也恢复到正常。右侧的隔离肺也在胸腔镜下顺利切除了,手术非常顺利。一次手术解决了双侧叶内型隔离肺,而且最大程度保留了正常肺组织。当马立霜把手术情况告诉家长的时候,小鱼妈妈心里的大石头终于落了地,喜极泣下,激动的拥抱住了马立霜。术后一周,小鱼顺利出院。术后两周,门诊复查一切正常。

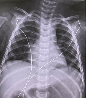
术后1周复查胸部X线,无明显异常
名词解释
隔离肺,专业名称叫支气管肺隔离症(bronchopulmonary sequestration,BPS)是一种罕见的先天性下呼吸道畸形,分为叶内型和叶外型两种。先天性下呼吸道畸形的发病率为1/10000~1/35000,而BPS仅占0.15%~6.40%。隔离的肺组织与正常气道不相通,血供来自体循环(通常来自主动脉或其分支)。由于隔离肺没有正常功能,容易继发感染、或对正常肺组织造成压迫引起呼吸窘迫,或者引起循坏衰竭等并发症,需要手术切除。大多数BPS是单侧的,双侧的极为罕见。
临床表现
BPS的临床表现因病变类型、大小和部位不同而有所差异。当前,很多BPS可以在产前超声检查中发现,个别可能在妊娠过程中消退。大部分BPS患儿出生时没有症状,而部分患儿一出生或出生后不久便出现呼吸窘迫,尤其是病变较大的患儿。出现症状的原因主要是病变较大,对正常肺组织造成了压迫;极少数情况下是因为隔离肺组织由异常体循环动脉供血,消耗很大一部分血流,可引起心力衰竭而出现症状。出生后的检查手段主要为胸部X线平片和增强CT检查,后者对于发现较小的病变以及发现异常血供更有优势。
治疗
出生后没有症状的患儿,因存在继发感染的风险,仍然需要进行择期手术,通常手术年龄建议在3-6月龄。这个年龄段手术,患儿胸腔空间增大,对手术耐受较好,而且早期手术可能有利于肺功能代偿性生长,同时也减小了等待手术过程中出现并发症的风险。一旦出现感染或呼吸系统症状,就必须尽快手术,与无症状时的择期手术相比,术后并发症的风险有所增加。对于病变较大的患儿,如果出生后出现了呼吸窘迫或者心力衰竭的症状,新生儿期手术或不可避免。目前大部分BPS可以通过胸腔镜进行微创治疗,手术打击小、术后恢复快、胸壁不会遗留明显瘢痕。
总结
先天性肺隔离症虽然是一种少见的先天性下呼吸道畸形,但是越来越多的BPS可以在产前发现。产前诊断的BPS在孕期需要严密监测,需要产科以及新生儿外科医生共同评估,制定产前、产后管理策略和治疗方案。出生后有症状的BPS患儿需要尽早转运至新生儿外科进一步评估是否需要及早手术,而出生后没有症状的BPS患儿需要临床随诊的同时,一般建议3-6月龄进行择期手术,尽量在1岁前手术,以免继发感染。BPS多可经胸腔镜切除而治愈,预后良好。
文、摄 | 张艳霞
编辑 | 宣传中心 郝洁
健康科普
新闻动态
就诊服务
首都儿科研究所融媒体矩阵
觉得好看请点击“在看”支持我们