
日前,国家疾控局举行新闻发布会,介绍推动疾控事业高质量发展进展成效有关情况。中国疾控中心传染病所所长阚飙介绍, 预计今冬明春仍将呈现多种呼吸道传染病交替或叠加流行态势,从目前情况看, 今年呼吸道传染病的流行规模和强度比去年要低一些。近期,全国急性呼吸道传染病哨点监测结果显示,不同病原体所致感染的疫情走势有所不同:到医院就诊的、症状类似流感的病人中, 流感病毒、鼻病毒、人偏肺病毒和肺炎支原体等病原体检出阳性率较高。

△第50周(12月9日—15日)呼吸道样本主要病原体核酸检测阳性率区域差异(图源:中国疾控中心)
其中,流感病毒检出阳性率近期上升趋势明显,进入季节性流行期,接下来一段时间内还会持续上升;
鼻病毒阳性率呈下降趋势;
同时,近期 呼吸道合胞病毒在 0岁至4岁组病例中的阳性率呈 上升趋势, 人偏肺病毒在 14岁及以下病例中的阳性率也呈 上升趋势,其中北方省份上升趋势更明显;新型冠状病毒感染,以及其他一些呼吸道病原体,现在处于较低流行水平。此外,冬季也是 诺如病毒感染的高发季节,诺如病毒是引起急性胃肠炎的重要病原,其传染性强、传播速度快,容易在学校、托幼机构等引起聚集性疫情。根据全国监测结果,我国自9月份以来疫情呈现逐渐上升趋势,目前正处于诺如病毒感染高发季节,预计未来两个月,疫情仍将继续 保持较高流行水平。提醒大家,做好自己和家人的健康防护,以降低感染风险。

国家疾控局传染病防控司司长雷正龙介绍,今年8月,国家疾控局等9部门联合发布《关于建立健全智慧化多点触发传染病监测预警体系的指导意见》(以下简称《意见》)。
《意见》发布以来,国家疾控局在优化传染病网络直报系统的基础上:
国家疾控局正在试点不明原因肺炎主动监测,完善后将逐步推广。针对新发突发传染病,正在制定病原微生物报告目录,明确实验室报告程序和疾控机构核实处置流程。实验室网络不仅包括疾控机构的实验室,还包括医疗卫生机构、第三方检测机构、高校和科研院所、其他相关部门的实验室等。2023年和2024年中央财政投入经费,支持各省(区、市)及新疆生产建设兵团,建设省统筹区域传染病监测预警和应急指挥信息平台。为实现医疗机构与疾控机构之间传染病相关数据的有效衔接,在全国二级及以上公立医疗机构,部署国家传染病智能监测预警前置软件。截至目前, 集成部署到位率达71%,北京、天津、江苏、山东、湖北、重庆、新疆生产建设兵团已经全部集成部署到位。同时,利用大数据与人工智能等新技术,提升了传染病数据自动分析和预警能力。下一步,国家疾控局将持续健全完善监测预警体系,提高传染病监测预警能力。公众可关注传染病监测预警信息,保护好个人和家人的健康。
人偏肺病毒是什么?
是新病毒吗?
传染性强吗?
患病后症状严重吗?
一文读懂↓↓↓
“年轻”的人偏肺病毒 人偏肺病毒(HMPV)是一种会引发急性呼吸道感染的常见病毒。与流感等传统呼吸道感染病毒相比,人偏肺病毒相对“年轻”,其发现的时间较晚。2001年,荷兰学者首次从未知病原体引起呼吸道感染患儿的鼻咽抽吸物样本中检出该病毒。
虽然发现较晚,但血清学研究表明它已在人类中存在60多年,且在世界各地均有分布。

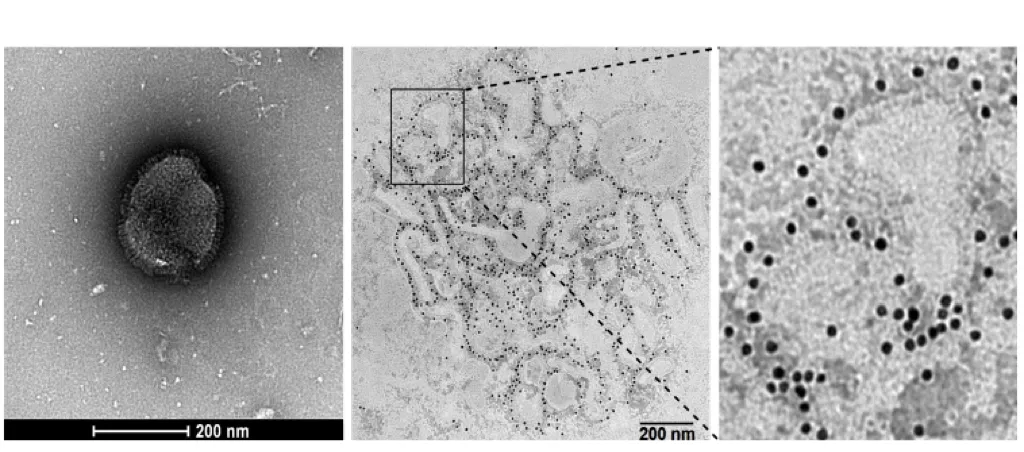
△HMPV电镜下形态观察(图源:中国疾控中心)
人偏肺病毒感染症状和流感相似吗?发病时,症状与流感相近,但是人偏肺病毒感染的主要表现为感冒,出现发热、咳嗽、流鼻涕等症状,流感病毒则会出现高热和全身乏力等。目前, 人偏肺病毒防治尚无疫苗和特效药物,治疗措施多为对症支持治疗。 喜欢挑小孩、老人“下重手”人偏肺病毒感染的潜伏期一般为3天至6天,全人群普遍易感,但症状的严重程度因人而异。
常见症状:咳嗽、发热、鼻塞和呼吸短促等上呼吸道感染症状;
轻症感染:对于大多数人来说,人偏肺病毒感染表现为自限性疾病,多数人在1周左右症状逐渐缓解;
重症感染:对以下高危人群,人偏肺病毒可能引发严重的下呼吸道感染:
5岁以下儿童:可能导致毛细支气管炎或重症肺炎;
老年人:可能诱发肺部感染或哮喘加重;
免疫力低下人群:如接受器官移植、造血干细胞移植的人,感染后可能出现严重的肺部炎症。
因此,儿童、老年人以及免疫功能较弱的人群必须密切关注病情变化,一旦出现呼吸困难、高烧不退等症状,应及时就医。 人偏肺病毒如何传播?人偏肺病毒的传播方式与大多数呼吸道病毒相似,主要通过以下途径:
需要注意的是,人偏肺病毒的免疫保护时间较短,这意味着人可能会反复感染。 如何预防人偏肺病毒? 好习惯:养成勤洗手、戴口罩等良好的卫生习惯;
常通风:每天定时开窗通风,保持室内空气通畅;
少聚集:尽量避开人群聚集或者空间密闭的场所;
总而言之,保持良好的生活习惯,前往人员密集场所时最好佩戴口罩,同时做到勤洗手、勤通风、科学消毒等预防措施,可有效降低感染风险。来源:央视财经、科普中国、央视新闻客户端、中国疾控中心等
编辑:毕群
编审:吴晨萍
终审:周健军