近日,北京市垂杨柳医院病理科在日常工作中发现了一例少见的细胞学检查标本,该细胞学标本来自于一位47岁女性患者的宫颈液基细胞学检查和腹水检查。该患者因左下腹间断隐痛1个月,腹胀一周,阴道不规则流血2天收入我院妇科,患者平素月经规律,3/30天,量适中,无痛经;2001年剖宫产手术,否认肝炎、结核等病史;人乳头瘤病毒检测结果显示低危型HPV54阳性。


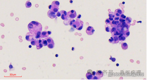
宫颈液基细胞学涂片:图中显示排列紧密的的三维团簇细胞结构,细胞核增大,核膜增厚、不规则,泡状核,染色质增粗,分布不均匀,核仁明显,可见大核仁,胞质淡染至透明,背景较为洁净。细胞学判读结果:可见腺癌细胞。


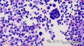
腹水传统细胞学涂片:图中显示排列紧密的的三维团簇肿瘤细胞,细胞核增大,染色质增粗,异型性及多形性明显,可见大核仁,可见核分裂象,背景中可见反应性增生的间皮细胞及组织细胞。细胞学判读结果:可见恶性肿瘤细胞,形态符合腺癌细胞。


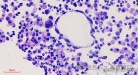
细胞沉渣石蜡包埋HE切片:在大量增生的间皮细胞及组织细胞背景中可见肿瘤细胞排列呈紧密的的团簇、松散单个游离、微囊及多泡状等结构。细胞沉渣免疫组化显示肿瘤细胞:CKpan(+),CK8/18(+),CK7(-),CK20(个别+),MOC31(+),CR(-),ER(-),PR(-),P53(+,符合错义突变型表达),PAX-8(-),MUC5ac(-),MUC6(-),CDX-2(+),GATA3(-),Vimentin(-),WT-1(-),CD10(-),Hepatocyte(+),AFP(+),Glypican-3(+),SALL4(+),OCT4(-),CEA(-),MUC1(+),CgA(-),hPL(+),SOX-2(+),CD117(-)。临床检验报告显示肿瘤标志物甲胎蛋白(AFP)和CA199升高;盆腔MRI(增强)检查示:盆腔内囊实性肿块,考虑卵巢来源肿瘤,不除外转移瘤。(腹水)细胞沉渣石蜡包埋HE切片病理诊断:可见恶性肿瘤细胞,结合免疫组化结果,考虑生殖细胞肿瘤,部分免疫表型提示卵黄囊瘤,由于细胞学检查的局限性,有可能不能反应原发肿瘤的全貌。妇科对患者进行了肿瘤细胞减灭术,术后最终病理诊断结果为卵黄囊瘤。目前患者谨遵医嘱定期化疗,肿瘤标志物AFP值也一直呈下降趋势,疗效显著。不同的恶性肿瘤在细胞学形态上可能具有重叠性,细胞沉渣免疫组化检查有助于提高病理诊断的正确率。
本文仅限于公益科普及学术交流,如有不适请及时就医,文中部分图片及资料来源于网络,侵删。