【罕见病】黏多糖贮积症
2025-03-15 08:45 来源:  北京号
关注

小明(化名)今年7岁,是家里第一个孩子,父母对他视若珍宝。小明1岁多时,父母发现他和其他孩子不同:有些“驼背”,远看像一只小虾米。起初以为是年龄还小,可随着他长大、学会走路,驼背非但没有好转,反而越来越严重,腿型也有些奇怪。父母认为是“佝偻病”,给小明补钙、补充维生素D,但是没有好转。

于是,父母带着小明到当地医院就诊,经过X线检查,发现了特征性的骨骼改变(飘带征、浆征)。在医生的提醒下,父母才回想起来,小明除了骨骼问题,其实还存在很多“小毛病”。小明出生后,后背至臀部有大片大片的青斑,虽然很多孩子都有“蒙古青斑”,但似乎他要比别人更多些,而且随着年龄的增长也不怎么消退。另外,小明的头围偏大,长大以后越来越明显,前额凸出,活像“寿星公”。眼睛有些“雾蒙蒙”的,有很严重的鼻炎和腺样体肥大,喘气呼哧呼哧的。他还有一个和年龄不太相符的大肚子,总是反复的脐疝和腹股沟疝……所幸,小明的智力正常,喜欢英雄和大侠的故事,也爱写字和画画,虽然手指弯曲像“爪”型,握笔有些困难,可他还是很努力地拿起笔在纸上写写划划。医生表示,小明可能患有黏多糖贮积症。他的尿黏多糖筛查呈阳性,又通过基因和酶学检测,最终确诊了黏多糖贮积症Ⅰ型。

确诊后,父母经多方打听,来到了首都儿科研究所血液内科,并于2022年1月接受了脐带血HSCT。今年是小明移植的第三个年头,供者嵌合稳定,尿黏多糖消失,有了稳定的酶替代,疾病不会再进展。目前,他做完了骨骼矫正手术,外观上和同龄孩子没有什么不同,而且已经回到校园,快乐地读书、学习,在操场上跑跑跳跳。

医生说:

什么是黏多糖贮积症?

黏多糖贮积症(MPS)是一种罕见的溶酶体贮积症,由于溶酶体中一些酶的缺乏使酸性黏多糖在体内不能完全降解,引起不同的黏多糖在各种组织内沉积而引起的不完全相同的一组疾病;以骨骼的改变构成其临床特征。X线骨片可见骨骼变形和多发骨发育不良;还可影响中枢神经系统、心血管系统、肝、脾、关节、肌腱和皮肤等。黏多糖贮积症可分为MPSⅠ~Ⅸ型,Ⅴ型后来发现即为Ⅰs型,Ⅷ型仅个例报道,后发现其实为Ⅳ型,故目前共7个分型,其中以Ⅰ型最为常见。除Ⅱ型为X连锁隐性遗传外(男性发病,女性为携带者),其余各型均为常染色体隐性遗传(男女均可发病)。2018年5月11日,国家卫生健康委员会等5部门联合制定了《第一批罕见病目录》,黏多糖贮积症被收录其中。虽然是罕见病,但由于我国人口基数庞大,像小明这样的患者其实有很多。各型MPS由于涉及组织的广泛性及其程度的不同而预后各异,MPS主要类型及相应酶缺乏如下表:

图片
图片

黏多糖贮积症,手指关节屈曲,外观呈“爪形手”

图片

黏多糖贮积症,胸廓骨骼受累,外观呈“鸡胸”

图片

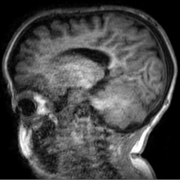
黏多糖贮积症,头颅核磁共振矢状面,颅骨呈“舟状头”,伴脑萎缩

如何治疗黏多糖贮积症?

由于是酶活性缺乏所致的疾病,所以目前MPS的主要方法为酶替代治疗和异基因造血干细胞移植。酶替代治疗能够有效地改善部分MPS患者的临床症状,同时降低治疗相关并发症,但是由于替代的酶为大分子蛋白,难以透过血脑屏障,所以酶替代治疗对患者的中枢神经系统症状无明显改善作用。另外,酶替代治疗费用十分昂贵,且需要终生用药,需反复住院;多次输注可能产生抗体,效果减弱;同时,随着年龄增加、体重增长,对酶替代的需求也随之增加,成本极高。

异基因造血干细胞移植(allo-HSCT,以下简称HSCT)可植入酶正常的供者细胞,并通过“交叉校正原理”达到永久酶替代治疗的效果。所谓“交叉校正”,就是指供者来源的细胞可产生正常的溶酶体酶,该细胞迁移至非造血器官中,并靠近患者缺乏酶的细胞。这些酶缺乏的细胞可摄取健康供者细胞中游离的酶,发生细胞间的酶转运,最终使缺乏酶的细胞得到校正。同时,健康供者的造血干细胞可透过血脑屏障,并转化为脑小胶质细胞,部分纠正MPS中枢神经系统的产酶能力,从而达到部分改善患者中枢神经系统症状的作用。随着HSCT技术的进步,其治疗风险显著降低,费用也为多数患者可承受。

首儿所血液内科自2015年开始进行HSCT治疗包括MPS在内的溶酶体贮积症,截止2025年3月1日,已治疗了各型黏多糖贮积症患儿138人,共进行了146例次HSCT,供者类型包括:非血缘脐带血、单倍体、中华骨髓库非血缘供者、同胞全相合供者,5年累积生存率97.8%。除1例原发植入失败未获得稳定酶替代外,余均稳定植入、完全嵌合,酶活性恢复正常,临床症状明显改善。自2019年来,血液内科主要开展脐带血HSCT治疗MPS,其优势在于:采用减低毒性预处理方案,减少脏器损伤,提高远期生存质量;脐血HSCT移植物抗宿主病发生率低,HLA配型要求低,供者资源丰富;对供者无不良影响,接受治疗的患儿获得了“纯天然”的酶,改善了临床症状。

首儿所自2021年6月开展包括黏多糖贮积症在内的先天性遗传代谢性疾病多学科诊疗,对于需进行HSCT的黏多糖贮积症患儿,可进行包括耳鼻喉科、眼科、普外科、保健科、呼吸内科、骨科、口腔科、内分泌科、心内科、神经科等科室在内的多学科评估。对于存在移植相关风险的患儿,进行多学科诊疗讨论,制定最佳的治疗方案。

黏多糖贮积症患儿的移植护理

首儿所血液内科的护理团队具备丰富的黏多糖贮积症造血干细胞移植护理经验,以下是总结的部分黏多糖贮积症患儿移植期间护理注意事项:

1.由于部分黏多糖贮积症的患儿存在气道梗阻的问题,住院治疗期间应注意观察呼吸的情况,当患儿感觉不适时可采取半坐卧位,或视情况遵医嘱给予吸氧治疗,呼吸道分泌物较多时,可辅助清理呼吸道分泌物。

2.部分患儿存在吞咽困难,尤其在进食大颗粒固体食物的时候避免平卧,应采取坐位或半坐位,可选择半流食,避免出现窒息。

3.不同类型黏多糖贮积症的患儿脏器受累情况不尽相同。当存在成骨不全、骨骼畸形、关节僵硬或松弛等问题时,尤其是当合并视力及听力受损时,患儿发生意外受伤的风险增高;且患儿存在自理能力缺陷,因而在护理过程中,尤其应该注意患儿的人身安全,谨防坠床,满足患儿日常生理需求。

4.对于神经系统受累的患儿,可能不能完全理解日常交流的内容,患儿可能活泼好动、抗拒治疗护理措施。在住院期间,患儿喂服口服药应保证按时按量,必要时可将药品研磨成粉状,溶入白开水后,使用注射器喂服。静脉管路加强固定或适当遮挡,避免患儿将其视为玩具拉拽导致管路脱出。

5.患儿在移植过程中容易发生感染。在给予患儿移植仓内全环境保护下,陪护人员应注意个人清洁及手卫生,掌握无菌观念及正确穿脱隔离衣的方法。饮食上选择清洁卫生、易清洗的食材,烹饪后使用微波炉高火加热的方式制作无菌饮食,避免肠道感染。

6.患儿回输后可能会出现肠道移植物抗宿主病(GvHD)或皮肤GvHD,加强患儿的皮肤及口腔、肛周粘膜护理。有皮疹的患儿,双手佩戴软棉套,避免抓挠皮疹处皮肤等;破溃处需及时消毒。

图片

刘嵘,首都儿科研究所血液内科主任,主任医师,硕士生导师。

中华医学会儿科分会肿瘤学组委员,北京医学会血液学分会委员,第3届北京市住院医师规范化培训专业委员会委员,国家卫生健康委儿童血液病委员会委员,福棠儿童医学发展研究中心儿童肿瘤专业委员会委员,北京慢性病防治与健康教育研究会儿童出凝血专业委员会副主任委员,中华骨髓库第三届专家委员会委员,北京癌症防治学会止血与血栓专业委员会委员,北京癌症防治学会红细胞疾病专业委员会委员,中国小儿血液与肿瘤杂志编委会委员,中华中医药协会儿童健康协同创新平台委员,中国健康促进基金会罕见病防治发展专项基金专家委员会副主任委员,参与科技部863课题,开展GCP一期研究多项,发表中英文论文百余篇。

擅长小儿血液系统疾病及儿童肿瘤的临床诊断及治疗,尤其擅长儿童白血病、淋巴瘤、郎格罕细胞组织细胞增生症、噬血细胞综合征及儿童恶性实体肿瘤的诊疗。多年从事造血干细胞移植治疗溶酶体贮积症及免疫缺陷病等疾病的临床工作。

出诊时间:每周一上午专业特需门诊,每周二上午知名专家门诊。

文 | 钟笛箫、王翠、冯顺乔、刘嵘

编辑|宣传中心 郝洁


作者:

首都儿科研究所官方


打开APP阅读全文
特别声明:本文为北京日报新媒体平台“北京号”作者上传并发布,仅代表作者观点,北京日报仅提供信息发布平台。未经许可,不得转载。