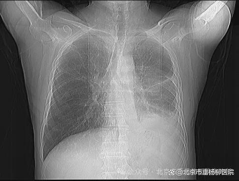
胸腔积液是胸外科的常见疾病,少量胸腔积液患者会有胸部不适症状,随着胸腔积液量的增多,患者会出现胸闷、憋气等症状,中大量胸腔积液会造成患者胸闷憋气、呼吸困难,严重影响患者的生活质量,甚至影响患者相关疾病的治疗,导致病情进一步恶化。
应广大社区患者的要求
北京市垂杨柳医院胸外科
恶性胸腔积液专科门诊
正式开诊了
胸腔积液可以是黄色清亮、浑浊、脓性、血性等,原因各不相同,常见的原因主要有:低蛋白血症、心衰、肺炎、肺结核、胸外伤、恶性肿瘤等,针对不同的病因,团队会采取不同的治疗方式解决胸腔积液,除了治疗原发病,还需采取胸腔穿刺引流或胸腔闭式引流,充分引流胸腔积液。


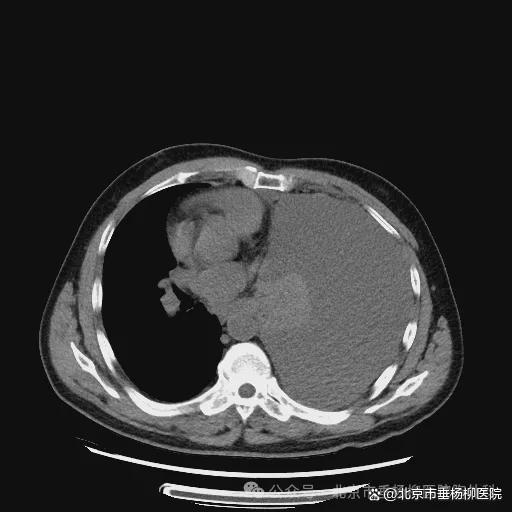
对恶性胸腔积液,除了以上处理方式,胸外科还有热灌注治疗胸腔积液,可以控制胸腔积液生长,取得了满意的治疗效果,既提高了患者的生活质量,又为患者的原发疾病的治疗创造了有利的条件。

热灌注前

热灌注后
北京市垂杨柳医院胸外科将竭尽所能,全心全意为广大患者服务。
胸外科恶性胸腔积液专科门诊安排:
每周一下午专家门诊,
每周二、四、五下午普通门诊,
敬请广大患者关注!