
近日,北京市垂杨柳医院神经外科开展医院首例采用脑膜中动脉栓塞术联合钻孔引流术,为一例复发慢性硬膜下血肿患者成功实施手术,效果良好。
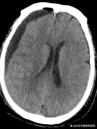
患者男性,69岁,因“头外伤后3周,头痛1周”就诊于北京市垂杨柳医院急诊科。头颅CT提示右侧额颞顶部慢性硬膜下血肿,量约140ml。入院后局麻下行慢性硬膜下血肿钻孔引流术,术后复查头颅CT大部分血肿排出,患者头痛明显好转,如期出院。术后1个月患者再次出现头痛,门诊复查头颅CT提示血肿复发,中线结构向左移位。再次就诊于北京市垂杨柳医院神经外科。
神经外科在接诊后,经术前讨论决定采取近年国际上兴起的新技术-脑膜中动脉栓塞术,联合钻孔引流术治疗复发慢性硬膜下血肿,以防血肿再次复发。此手术在医院尚属首例,手术于复合手术室进行,术中,由神经外科副主任医师刘磊会同主治医师段练、王绍珍先行脑膜中动脉栓塞术。经右股动脉入路,颈外动脉造影显示右侧脑膜中动脉增粗,末端可见棉絮样毛细血管沿血肿壁分布。将微导管小心超选至脑膜中动脉分支远端,注射可粘附性液体栓塞剂闭塞脑膜中动脉,过程顺利。再沿原手术入路放置硬膜下引流管引流陈旧血液。术后一周患者出院,无任何神经功能障碍。后续2个月期间,患者定期于门诊复查,残余血肿逐渐吸收,目前仍在随访中。

▲脑膜中动脉栓塞术中

▲钻孔引流术中

▲脑膜中动脉栓塞术前

▲脑膜中动脉栓塞术后

第1次术前

第1次术后1天

1次术后10天

第2次术前

2次术后1周

2次术后50天
神经外科 | 科普小课堂
慢性硬膜下血肿
慢性硬膜下血肿(Chronic Subdural Hematoma,CSDH)是一种颅内出血性疾病,是血液集聚在蛛网膜与硬脑膜之间形成的慢性占位性病变。该病好发于老年人,外伤和服用抗血栓药物是主要病因。CSDH发病隐匿,一部分仅是轻微外伤,还有一部分患者并无外伤史,病程进展十分缓慢。当血肿增大引起颅内压增高时,可出现头痛、头晕、认知下降、走路不稳或局灶性神经功能障碍等临床表现。头颅CT可明确诊断,表现为颅骨内板下新月形等低高或混杂密度影。
我国CSDH的发病率约为1~13/10万,占颅内血肿的10%左右。随着人口老龄化及抗血栓药物的使用增加,CSDH的发病率逐年上升。对于占位效应不显著的少部分患者经观察和对症治疗,血肿可自然吸收。对占位效应明显的CSDH患者通常首选手术治疗,传统手术方法包括钻孔或锥孔引流术,小骨窗开颅术或内镜辅助下血肿清除术等。大多数手术治疗效果良好,但仍有部分患者术后复发,最高可达33%。尤其对于基础病较多的老年患者,如糖尿病、高血压、高脂血症、卒中、恶性肿瘤及肝肾功能异常等,部分患者还需长期服用抗血小板聚集药物、抗凝药等,传统钻孔冲洗引流手术治疗后易反复复发,这部分患者可能面临二次钻孔,甚至需要行开颅手术,无疑增加了患者的痛苦和经济负担。
脑膜中动脉栓塞
脑膜中动脉栓塞(MMAE)作为一种新兴的微创治疗方法,为最近数年在全球神经科领域新出现的治疗该类疾病的新理念新技术,逐步成为CSDH的有效治疗手段之一。CSDH的形成与血肿包膜上脆弱的毛细血管生成和渗漏有关,而血肿包膜的供血来源于脑膜中动脉,因此脑膜中动脉栓塞术可通过阻断血肿包膜的血液供应促使血肿逐渐吸收,从根本上解决疾病复发问题。手术通过桡动脉或股动脉穿刺置鞘,将微导管输送至脑膜中动脉,然后使用胶、栓塞颗粒或弹簧圈等材料闭塞动脉。该治疗方式具有创伤小、手术时间短、术中出血少、术后恢复快、局麻下可完成、不受口服抗凝药物影响、手术感染等并发症风险低等优势。根据患者的不同特点,MMAE可单独或联合钻孔引流术治疗慢性硬膜下血肿,也可作为手术治疗后复发病例的补救治疗。

注:以上专家出诊时间仅作参考,实际以当日出诊情况为准。
本文仅限于公益科普及学术交流,如有不适请及时就医。文中自测内容不作为医学诊断依据。文中部分图片及资料来源于网络,侵删。