62岁的廖先生是一名货车司机
日复一日熬夜驾车的他
几十年来每天依靠两三包烟“提神”
直到最近持续一个月的剧烈咳嗽
才让这名“老烟枪”
在当地医院完成了
人生第一次胸部CT检查
结果犹如晴天霹雳——
他的右肺上叶发现了
2处高度疑似恶性肿瘤的结节
于是,他慕名找到了
福建医科大学孟超肝胆医院
(福建医科大学吴孟超纪念医院)
胸外科林绍峰主任
林主任在看过胸部CT后判定右肺2处结节均需尽快手术切除,但术前肺功能检查结果又让医生们犯了难。因为长期抽烟,廖先生的肺功能指标不足正常人的四成,完全不能满足手术麻醉的要求。
为了寻找最优解决方案,林主任迅速组织了包括麻醉科、介入科、肿瘤科在内的多学科会诊。会诊认为,因较大结节的位置紧贴肺门大血管,无论是CT引导的穿刺活检还是消融治疗,都有极大风险伤及紧邻血管,造成大出血甚至生命危险。因此,要获取最精准的肿瘤病理结果,手术切除是目前最合理的治疗方式。

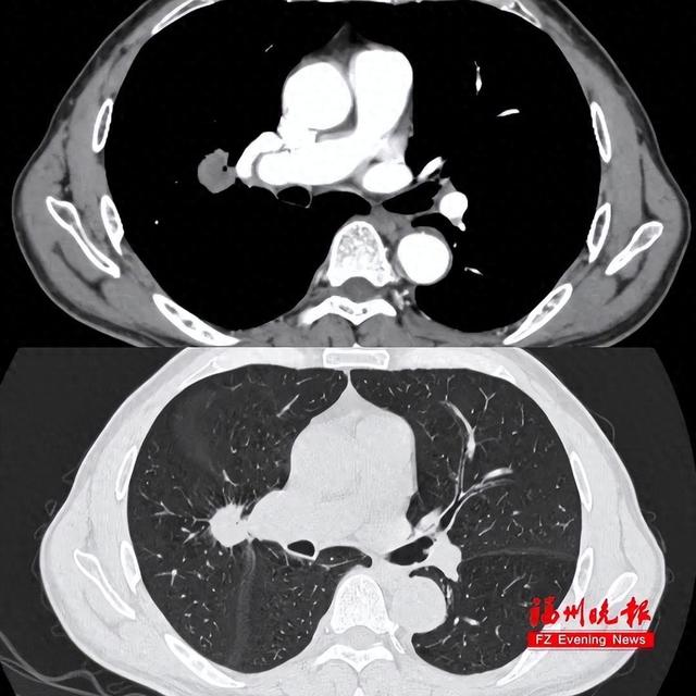
胸部CT可见肿瘤紧贴肺门大血管。
为实现手术可能
林绍峰主任为廖先生量身定制了
一系列改善肺功能的方案:
严格戒烟、药物吸入雾化、呼吸训练
在每日监督执行下
用了不到2周时间
廖先生复查肺功能指标
终于勉强达到了手术麻醉的条件
但另一个难题同样棘手。廖先生的肺部条件无法耐受他完成标准的右上肺叶完整切除,这就意味着,对于紧贴肺门大血管的结节,必须在保证完整切除情况下不能损伤周围的血管分毫。为了更好了解结节与周围血管的关系,林绍峰主任团队运用三维重建技术将廖先生肺内的动脉、静脉及支气管等组织结构立体构建出来,在术前便规划好手术入路及切除范围,做到心中有数。
术中,林绍峰主任凭借丰富的经验、精细的操作,结合术前精密规划的“手术路线”,完整游离出整个结节并将其切除,同时也一并切除位于尖段的结节。不出所料,两处肺结节的病理结果均为浸润性腺癌。

3D重建下结节与周围血管的关系。
经过精心治疗,目前廖先生已康复出院,短暂休整后,他还要根据切除的肿瘤基因检测结果,返回医院进行下一阶段综合治疗。对于这次手术的成功,廖先生及其家属表示非常感激,特地为团队送来锦旗表示感谢。
林绍峰主任表示:“这类高风险手术的成功,得益于多学科协作和精准医疗技术的应用。我们将继续挑战复杂病例,为更多患者带来生的希望。”同时,他提醒,长期吸烟会严重损害肺功能,增加肺癌风险,戒烟是保护肺部健康的第一步,任何时候戒烟都不迟。

廖先生及家属为林绍峰主任团队送来锦旗,表达感谢。
快快转发,提醒身边人!
来源:福州晚报