“王主任,太感谢您了,孩子的命是您给的!” 小云儿的妈妈攥着新生儿外科副主任王莹的手,泪水浸透了口罩。这个提前8周降临的早产宝宝,在生死边缘挣扎了整整一个月,这场跨越 300公里的生命救援,不仅挽回了一个幼小的生命,更印证了首都医科大学附属首都儿童医学中心新生儿外科对危重症患儿的生死意义。
命悬一线:跨城转运的生死抉择
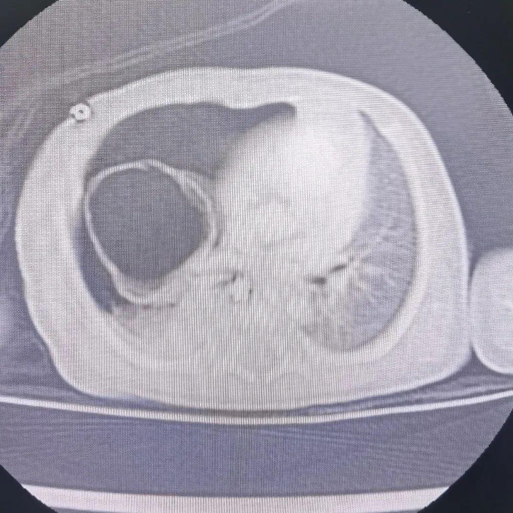
出生仅1700克的小云儿,从降临世界起就没离开过“呼吸战场”:气管插管、肺表面活性物质急救、有创呼吸机支持……命运的考验却接踵而至。生后8天,右侧胸腔突然涌出大量气胸,她再次被插上呼吸机,胸腔闭式引流管里的气泡成了父母心头不断扩大的阴影。CT片上,一个4×5厘米的囊性病灶像颗“炸弹”嵌在右肺,不仅压得右肺完全“罢工”,还把心脏和纵隔挤向左侧,连左肺的呼吸功能也岌岌可危。当地医生看着片子摇头:“这病太凶险,得找北京新生儿外科的专家!”爸爸连夜赶到首都儿童医学中心。王莹盯着片子眉头紧锁:“这是先天性肺气道畸形Ⅰ型,大疱随时可能破裂引发致命气胸,必须尽快手术!”可看着保温箱里插满管子的女儿,爸爸决定再观察几天。

然而小云儿的气胸仍在反复,“去北京!就算冒险也要试!”生后21天,父母咬牙做出决定。在当地医生护送下,载着小云儿的转运救护车一路呼啸到达了首都儿童医学中心的新生儿外科。
精准拆弹:找对科室就是找到生机
住院5天,小云儿脱离有创呼吸支持,然而肺部破损迟迟不能愈合,胸引管需要一直引流。王莹带领团队对小云儿的病情进行了深入细致的分析:真正有效的治疗方案就是切除病灶,解除压迫,避免气胸反复发生。对于纠正胎龄35周,体重2公斤的宝宝,开刀手术无疑是最简单易行,但是肋间大切口的瘢痕会是一辈子的遗憾。凭借多年新生儿围术期管理和微创手术经验,王莹提出“必须用最精细的方案,给孩子一个未来!”于是制定了治疗策略:先调理营养让体重达标3公斤,再用实施腔镜手术,由吲哚菁绿荧光导航定位病灶,最后在单肺通气下完成胸腔镜手术。
入院20天里,护士长王玥带领护理团队实施精细化照护。为防肺底坠积,每两个小时轻柔变换体位,针对小云儿早产吸吮弱的问题,有专人负责喂奶前实施口腔运动干预,刺激吸吮反射,喂奶后竖抱轻拍既能减少吐奶风险,又能通过肌肤接触传递安全感。在这般精心照护下,小云儿的奶量从逐渐增长,体重稳步接近3公斤,术前指标均达标,为手术筑牢基础。
手术当天,刘超副主任医师早早来到手术间,在麻醉科主治医师郭海娟的协助下进行吲哚菁绿的雾化治疗,完成荧光导航的前期准备工作。由于小云儿早产、体重小,无法进行气管封堵的方式完成单肺通气,麻醉难度陡增。郭海娟借助纤支镜小心翼翼的把3.0插管导入左主支气管,顺利完成单肺通气,又行云流水般置入深静脉穿刺管,为手术保驾护航。
手术开始了,早产儿的胸腔镜耐受能力还是差了些,只能接受2mmHg压力的二氧化碳气体,再提高压力,患儿的氧合能力就开始下降。在狭小的胸腔环境里,每一个动作都不能有分毫偏差,任何副损伤都会加重病情。王莹凭借过硬的微创手术经验,谨慎分离胸腔内粘连组织。荧光导航下,病灶界限清晰可见,超声刀精准完整切除病灶。郭海娟紧密配合,即刻恢复双肺通气,王莹再用胸腔注水实验仔细检查有无气漏。短短1小时,手术顺利结束。麻醉清醒后,小云儿脱离呼吸机,平安回到新生儿重症监护室进一步观察。

术前胸部CT

术后胸部CT
重获新生:专业与爱铸就生命奇迹
术后 1 周,小云儿顺利拔出胸腔闭式引流管,脱离鼻导管吸氧。在全体医护人员的精心呵护下顺利出院。爸爸妈妈抱着小云儿,心中满是感激与幸福:“感谢新生儿外科医护团队,让这个家终于完整了!是你们让我们知道,孩子的病虽然凶险,但找对科室就有希望!”
这场跨越300公里的生命救援,是新生儿外科对危重症的精准判断、对微创技术的极致追求,更印证了一个真理:对于复杂的新生儿疾病,专业科室的诊疗体系、团队协作能力和技术储备,往往是撬动生死天平的关键。正如王莹所说:“每个重症宝宝的生机,都藏在找准医院、找对专业的选择里。”

延伸科普:先天性肺气道畸形
先天性肺气道畸形(旧称先天性肺囊腺瘤),是一组因气道、肺实质及肺血管发育异常导致的先天性疾病,绝大部分患儿可通过产前诊断发现。多数患儿在生后3-6个月接受胸腔镜手术,治疗效果良好。其中Ⅰ型,大疱型,最易发生张力性气胸。需要持续呼吸支持、气胸引流后症状仍不缓解的患儿,应尽早接受手术治疗。

首都儿童医学中心新生儿外科在先天性膈疝、肺气道畸形、先天性食管闭锁、胃肠道畸形、肛门闭锁、巨结肠、新生儿急腹症等救治方面具有丰富经验和较高水平。周一至周五全天开设新生儿外科门诊,除此之外,面向全北京市开展了24小时危重新生儿转运,并且随时可接收全国范围转运过来的危重患儿。新生儿外科在新生儿及年长患儿手术治疗技术领先,同时拥有强大的新生儿重症监护团队,在对患儿的术前诊断,手术治疗,围手术期监护方面具备全国领先的优势,同时可联合各兄弟科室,整合优势资源,形成一体化诊疗体系,使患儿围术期治疗更加精准和科学,为患儿救治成功保驾护航。
文 | 王莹、王玥
摄 | 吴琼
编辑 | 宣传中心 郝洁
健康科普
新闻动态
就诊服务