我们的环境中存在很多真菌,有一些真菌物种可对人类造成感染和引发疾病,且其释放的孢子能够借助空气传播。更令人担忧的是,气候变化可能进一步扩大其适宜传播的区域,增加感染风险。曲霉菌就是这类真菌的一种。
那么,曲霉菌究竟是什么?它对人类健康的威胁有多大?我们又该如何防护应对呢?
一、曲霉菌的基本情况
曲霉菌是一类广泛存在于自然界的丝状真菌,种类繁多,常见的有烟曲霉、黄曲霉、黑曲霉等。它们通过产生大量微小的分生孢子进行繁殖和播散。这些孢子生命力顽强,在适宜条件下能迅速萌发形成新菌丝体。
温暖潮湿的环境是曲霉菌生长繁殖的理想场所,在发霉的墙壁、陈旧的书籍、长期未清洁的空调滤网、土壤、落叶堆、堆肥以及建筑工地等,它们都极易滋生。有些曲霉菌株甚至能在超过约49摄氏度的高温下存活。正是这种强大的环境适应力和繁殖能力,使得曲霉菌在环境中分布极广。

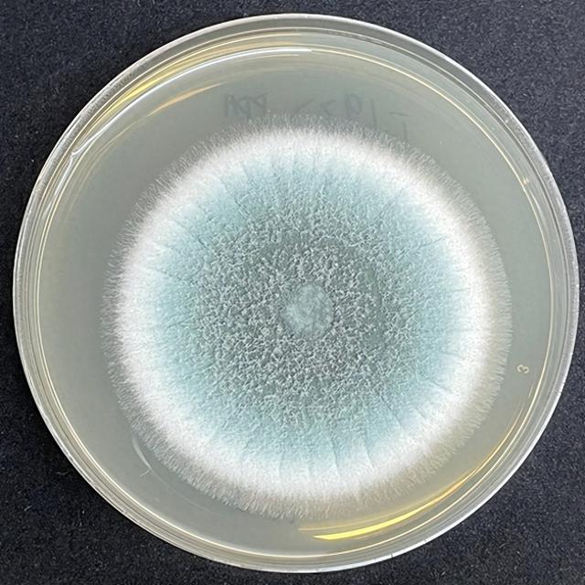
烟曲霉菌落,PDA培养基,生长5天的形态。
二、曲霉菌的危害
要明确的是,对大多数健康人而言,即使吸入了环境中的曲霉菌孢子,通常也不会引发严重疾病。免疫系统健全的人体能够有效清除这些孢子,可能出现的反应最多是对曲霉菌的过敏症状。但是对于部分人群来说,曲霉菌可能会带来显著的健康风险。
过敏体质者
曲霉菌孢子可刺激气道黏膜,使气道变得异常敏感,导致支气管收缩,出现呼吸急促、呼吸困难等类似支气管哮喘的症状,患者常感觉胸闷,呼吸时伴有呼哧呼哧的声音,严重时可影响日常生活和活动。
特定人群
在哮喘患者和囊性纤维化患者中,吸入的曲霉菌孢子可能在气道内附着并生长繁殖,引发过敏性支气管肺曲霉病,导致原有的咳嗽、呼吸急促、咳痰等症状反复发作或加重。
免疫力低下人群
免疫力低下的人群需要高度警惕。例如正在接受化疗的癌症患者、服用免疫抑制剂的患者、严重烧伤患者、晚期艾滋病患者等。对他们来说,曲霉菌感染可能非常凶险,引发严重的曲霉病,主要类型包括:
1.慢性肺曲霉病:主要在患有慢性肺部疾病(如慢性阻塞性肺病、肺结核遗留空洞等)的人群中较为常见。曲霉菌在肺部形成慢性病灶,缓慢破坏肺组织,导致长期咳嗽、咳痰(可能带血)、乏力、体重下降和进行性呼吸困难。

2.侵袭性曲霉病:这是最严重的一种类型,几乎只发生在严重免疫抑制患者中。曲霉菌孢子一旦侵入肺部,会迅速生长扩散,侵入血管和组织,形成菌丝团导致组织坏死和器官功能衰竭。感染区域可能从肺部扩散至大脑、心脏、肾脏等器官。
患者可能会出现高热、寒战、咳血、胸痛等症状,病情进展迅速,病死率高,可能在短时间内导致呼吸衰竭、休克等严重后果。特定人群出现以上紧急症状时,应立即就医。
三、曲霉菌的防控
采取恰当的预防措施,特别是针对高危人群,至关重要。
居家环境
1.保持室内良好通风和干燥,定期开窗换气。
2.经常清洁空调滤网、地毯、窗帘等易积灰尘的地方。
3.发现墙壁发霉,应及时彻底清洁并修复,另外注意解决潮湿的根源。
4.适当减少室内盆栽植物数量,因为土壤是曲霉菌的来源之一。
外出活动
1.在扬尘天气、建筑工地、装修现场、谷物处理场所等孢子浓度可能较高的地方,建议佩戴防护性较好的口罩(如N95口罩)。
2.当在花园劳作或接触堆肥、腐烂植被时,同样需要佩戴口罩与手套。
3.尽量减少在潮湿、通风不良的地下室、仓库等环境中的停留时间。
特殊人群防护
1.应尽量避免前往人群密集、灰尘多、环境复杂的场所(如建筑市场、正在装修的区域)。
2.在专业医生的评估和指导下,部分极高危患者可考虑预防性使用抗真菌药物。
四、结语
曲霉菌作为一种广泛存在于环境中的真菌,其孢子可通过空气传播并被人体吸入。在气候变化背景下,其传播范围和潜在风险可能有所扩大。它对健康人群的实际危害通常较小,但对于免疫力严重受损的高危人群,有可能构成致命感染风险。因此,提高对曲霉菌危害的认识,在高危人群中采取科学、针对性的防护措施,并在出现可疑症状时及时就医,是降低风险、保障健康的关键。
来源:中国疾控中心(编辑小鹿)