
如果您或您身边的人正在遭受肝癌、 肝硬化、肝腹水等各类癌前病变和肿瘤的困扰,有相关问题想要咨询钟伟主任,可以拨打热线
010-88849996
或长按识别下方二维码提交信息,钟伟主任团队将尽快与您联系。

拨打电话或扫描二维码后将跳转到第三方服务。
专家介绍
北京四惠西区医院副院长、主任医师,北京市中西医结合肿瘤会诊中心专家,国内著名肝病、肿瘤专家,国医大师张大宁学术传承人,北京中医药薪火传承“3+3”工程刘鲁明名医传承工作站主要成员。中华中医药学会外治分会第六届委员会委员、世界中医药学会联合会肿瘤经方专业委员会理事、《中国中医药名医绝技秘方藏典》编委。肝炎中药制剂、肿瘤中药制剂以及脑血栓、偏瘫中药制剂3项国家发明专利持有者;被“全国名老中医临床技术高峰论坛组委会”授予“肿瘤防治中医药杰出人才奖”“中医肝病杰出诊疗人才奖”。
擅长
运用中医疗法治疗酒精肝、脂肪肝、肝硬化、肝腹水、病毒性肝炎、肝癌等各类肝胆常见病;中医药诊疗癌前病变,如肺结节、乳腺结节、甲状腺结节等各种结节、息肉、囊肿;以及淋巴瘤、脑瘤、鼻咽癌、食道癌、肺癌、乳腺癌、胃癌、肠癌、宫颈癌、脑胶质瘤、胰腺肿瘤等各种良恶性肿瘤。
本期节目内容提要:

本期《大国医者》深入解读钟伟主任在肝癌治疗领域的核心诊疗理念,展现传统中医与现代医学融合的创新思路。
钟伟主任主张“中西医协同、标本兼治”,既借鉴现代医学精准靶向与免疫治疗的优势,直击肿瘤病灶、激活机体抗癌机制;又依托中医整体调理思想,以中药扶正固本,在抑制肿瘤的同时减轻治疗副作用,守护患者身体机能。
他打破单一治疗的局限,通过辨证施治实现“攻邪不伤正”,为肝癌等各种肿瘤及癌前病变患者搭建起兼顾疗效与生活质量的治疗路径,用系统化的诊疗思维为肿瘤和癌前病变的治疗提供了新方向。
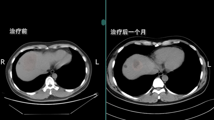
▍“靶向+免疫+中药”,仅用40多天,肝癌从14cm“缩”成3.9cm!
十几年来,宁波人戴先生(化名)一直与肝癌搏斗。2023年,2次被切除的癌肿再次卷土重来时,他几乎被宣判“死刑”——多处种植性转移,癌肿越长越大,最大的甚至达到14cm,并出现了比肿瘤更凶险的“癌栓”……
身体每况愈下的戴先生不甘坐以待毙,在2024年秋天找到了钟伟主任,决定尝试中西医结合的新路径。在“靶向+免疫+中药”的治疗方案下,奇迹很快出现:仅40多天,那枚14cm的肿瘤显著缩小至3.9cm;8个月后的今天,肿瘤仅剩3cm,其余小病灶已消失,致命的癌栓也已钙化脱落!



▍男子急性肝衰竭命悬一线,是什么让他绝处逢生?
2022年,对于小陈(化名)来说,是人生被骤然撕裂的一年。起初只是胃不舒服、吃不下东西、嗜睡。治疗后,病情非但不见好转,反而急转直下——胆红素飙升、腹水,甚至昏迷……他被诊断为急性肝衰竭。
治疗1个月后,医生给小陈指出了最后生路,“医生说,不换肝可能撑不过半个月”,可天价的费用与稀缺的肝源,让整个家庭陷入绝望。
危急关头,钟伟主任为他带来了生的希望。“喝了14天的药后,能慢慢自己下床了!”进入第2疗程后,他的腹水开始大面积消失,肝脏重要指标大幅下降……2个月后,他已能生活自理!
1年后,小陈重返正常生活。如今3年过去,他的病情始终稳定,生命重新洒满阳光。


▎“靶向+免疫+中药”,他从“只剩 3 个月”到肝部肿瘤全消!
53岁的明叔(化名),带着表弟和邻居,坐了十几小时硬座从湖北来到北京。这条路他两年没走了,但无比熟悉——2年前,他被诊断为弥漫性肝癌晚期,癌肿大如鸭蛋,并被当地医院断言生命仅剩3个月。
绝望中,明叔找到了钟伟主任。在“靶向+免疫+中药”的治疗方案下,奇迹悄然发生。服药10天,明叔腹部的胀痛开始减轻;1个月后复查,肿瘤缩小了1cm多;4个月后再检,肿瘤缩至2cm多。到2021年底,肝部肿瘤全部消失。
如今,重获新生的明叔成了“生命的信使”。由于他的治疗经历,身患重疾的表弟和邻居毫不犹豫地跟随他来到北京,放心地将自己托付给了钟伟主任。


钟伟主任作为国医大师张大宁的学术传承人,深耕肝病诊疗领域近 30 年,始终以 “中西医协同、标本兼治” 为核心诊疗理念,逐步构建起系统化、专业化的肝病诊疗体系。

中西医结合治疗肝病、肿瘤有哪些特色?
①治疗理念层面上,钟伟主任以中医经典理论为根基,研发多项特色诊疗技术。其中,“软肝排毒转阴疗法” 可覆盖肝炎、肝硬化等肝病的全程管理,“抗癌消瘤排毒疗法” 适用于肿瘤类疾病的治疗,“三法合一疗法” 则实现多维度中医干预。这些疗法均经过临床实践验证,如肝硬化患者经治疗后胸腹水消退、肝癌患者肿瘤体积缩小等案例,充分印证了其临床价值。
②协同治疗方法上,钟伟主任构建 “现代医学攻邪 + 中医固本” 的协同模式。在肝癌等重症肝病治疗中,合理运用靶向药物精准作用于病灶、免疫药物激活机体抗癌机制,同时搭配中药方剂,既能减轻现代医学治疗带来的副作用,又能调理脏腑功能、增强机体免疫力,实现 “攻邪不伤正” 的治疗目标,兼顾治疗效果与患者生活质量。
③全程管理治疗上,钟伟主任坚持 “病因与症状并重、短期疗效与长期康复兼顾” 的原则。诊疗初期,结合患者病史、影像学检查、肝功能指标等多维度信息,制定个体化治疗方案;治疗过程中,通过动态随访密切监测病情变化,及时优化诊疗策略,重点加强肝硬化等疾病并发症的早期预防;同时,注重患者营养指导与心理疏导,开展健康科普教育,为患者长期康复提供全方位支持。
咨询/预约方式:

如果您或您身边的人正在遭受肝癌、 肝硬化、肝腹水等各类癌前病变和肿瘤的困扰,有相关问题想要咨询钟伟主任,可以拨打热线
010-88849996
或长按识别下方二维码提交信息,钟伟主任团队将尽快与您联系。

拨打电话或扫描二维码后将跳转到第三方服务。