
溃疡性结肠炎(ulcerative colitis,UC)是一种原因不明的直肠和结肠炎性病变,表现为腹痛腹泻、黏液脓血便、里急后重及不同程度的全身症状。本病可发生在任何年龄,多见于20~40岁,男女发病率无明显差别。溃疡性结肠炎的病因及发病机理,现代医学尚未有明确的定论,内窥镜与活检是建立诊断溃疡性结肠炎最敏感和特异性的工具。目前临床治疗药物主要以5-氨基水杨酸、糖皮质激素、免疫抑制剂和生物制剂为主,在临床试验中缓解率不超过20-30%,在现实生活中缓解率不超过30-60%。因此,仍有患者需手术治疗。同时存在不良反应较高、治疗费用昂贵等问题。因其病程长、复发率高、治愈难度大、存在癌变的风险,被世界卫生组织列为现代难治性病之一。UC与中医学中的“久痢”关系最为密切,基于中医整体观和辨证理论,通过抗炎、抗氧化、调节机体免疫反应等机制的中医药治疗UC,具有个性化、不良反应小等优势。
一、临床验案 首诊
2024年3月21日
患者男性,37岁,半年前无明显诱因出现腹泻,大便4-5次/日,Bristol type6-7,伴粘液脓血,偶有腹痛、腹胀,无里急后重感。2023年12月11日就诊于外院,肠镜检查示结直肠炎性改变(溃疡性结肠炎可能)。后间断口服美沙拉嗪治疗,未见明显好转。2024年3月5日复查肠镜示结肠多发糜烂,病理报告示直肠、乙状结肠黏膜急慢性炎,可见隐窝脓肿,固有层淋巴组织增生。为求进一步诊治,遂就诊于我科。
刻下症:腹泻,大便4-5次/日,Bristol type 6-7,伴粘液脓血,时有腹痛、腹胀,无里急后重感,无恶心呕吐,无反酸烧心,无吞咽困难,无发热,无视物模糊,无肢体麻木,无关节疼痛。畏寒,时有乏力,纳差,眠差,自发病体重下降5Kg左右。
既往史:否认有高血压、心脏病、糖尿病等慢性病病史。否认有肝炎、结核等传染病病史。20年前左手行腱鞘炎手术。否认有重大外伤。否认有地方病及职业病病史。无输血史。否认有药物及食物过敏史。
个人史:生于原籍,久居本地,居住条件可,饮食无特殊嗜好,无烟酒等不良嗜好。
查体:神清,精神可,心肺查体未见异常,腹平,无压痛、反跳痛,肝脾肋下未触及,肠鸣音正常。舌暗红,苔薄黄腻,剥脱苔,脉弦细。
辅助检查:(2024年3月5日外院)肠镜示结肠多发糜烂,病理报告示直肠、乙状结肠黏膜急慢性炎,可见隐窝脓肿,固有层淋巴组织增生。
中医诊断:大瘕泄(大肠湿热、脾虚气滞、阴虚证)
西医诊断:溃疡性结肠炎(活动期)
治法:中医治疗以清热化湿、健脾理气、滋阴为主;西医治疗以缓解肠道炎症为主,复查肠镜明确病变范围及内镜下评分状况,并予经内镜肠道置管术TET。
处方:四君子汤合乌梅败酱汤加减6付,每日1付,分2次服用,每次200ml。
二、二诊
2024年3月27日
刻下:腹泻时作,大便次数减少,粘液脓血量较前减少,大便2-3次/日,Bristol type 6-7,仍时有腹痛、腹胀,畏寒,时有乏力,纳差,眠差。舌淡暗,苔薄黄,苔剥脱,脉弦细。
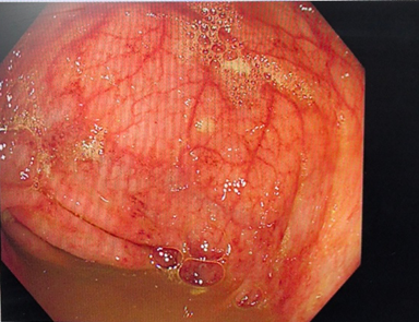
辅助检查:(2024年3月25日本院)肠镜下可见:距肛门约37-40cm降结肠局部黏膜可见散在片状红斑充血糜烂,直肠黏膜稍充血水肿,粗糙颗粒感,局部黏膜可见散在糜烂。


予行TET术:予结肠镜孔道放置金属夹鞘管,头端携带给药管,置入升结肠中,予结肠镜直视下进行中药灌肠液滴入,药液覆盖肠道。
肠镜下诊断:1.溃疡性结肠炎(活动期,左半结肠、直肠型,轻度) 2.经内镜肠道置管术TET


患者脾气不足,运化无力,水谷精微不得濡养四肢,故见乏力;运化不及,脾气停滞中焦,故见纳差,舌苔剥脱,脉弦细与阴虚密切相关。
故处方:原方基础上加醋鸡内金、石斛、炒谷麦芽,12付。石斛炖煮后与汤药同服。
三、三诊
2024年4月13日
患者诉腹胀、痛较前好转,大便1日1-2行,Bristol type 6,粘液脓血量较前进一步减少,纳尚可,夜寐不佳,时有乏力,舌淡暗,苔薄黄,剥脱苔较前好转,脉弦细。原方基础上加乌梅、牡蛎、灵芝以助安神健脾。12付,煎服法同前。
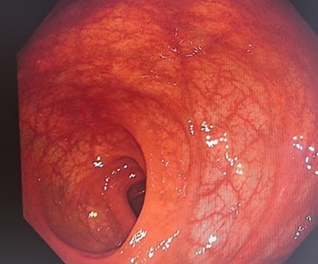
(2024年4月10日本院)治疗后肠镜示:距肛门约37-40cm降结肠局部黏膜未见明显充血,余黏膜光滑,黏膜下血管清晰,未见溃疡。距肛门5cm直肠左侧壁延伸至肛周处黏膜局部稍充血,可见少许糜烂。




肠镜诊断:溃疡性结肠炎(缓解期)
病理示:肠黏膜组织慢性炎,间质出血,淋巴细胞聚集伴挤压,淋巴滤泡形成,未见隐窝炎及隐窝脓肿。
患者症状及内镜下表现较前明显好转,嘱患者门诊随诊,定期复查肠镜及病理。
四、按语
患者以反复腹泻伴粘液脓血便为主症,病程半年余,外院肠镜及病理检查提示结肠炎性改变、隐窝脓肿等特征性表现,西医诊断溃疡性结肠炎(活动期)明确。刻下腹泻、粘液脓血便,伴腹痛腹胀、畏寒乏力、纳差眠差,体重下降明显,结合舌暗红、苔薄黄腻伴剥脱、脉弦细,中医辨证为大瘕泄(大肠湿热、脾虚气滞、阴虚证),盖因脾虚气滞失运、湿浊内生,久郁化热伤阴伤络,瘀阻肠络所致。乌梅败酱方为国医大师路志正先生的经验方,合四君子汤可共奏健脾益气、清利湿热之效。方中乌梅味酸,有收涩止血之效,败酱草、黄连清热解毒,消肿排脓,袪瘀止痛。二诊见患者纳差、时有乏力较前无明显好转,苔剥脱同前,脾气不足,运化无力,水谷精微不得濡养四肢,故见乏力;运化不及,脾气停滞中焦,故见纳差,舌苔剥脱,脉弦细与阴虚密切相关,故原方基础上加醋鸡内金、石斛、炒谷麦以健脾益气养阴;三诊诉其腹胀腹痛较前好转,眠稍差,原方基础上乌梅加量,另加牡蛎、灵芝以助安神健脾。TET置管中药灌肠,其在增加疗效、减少副作用方面有独到之处,TET即“经内镜肠道植管术(transendoscopicenteral tubing,TET)”,指经内镜辅助植入定管并固定于肠道深部,体外端沿肠道与外界相通,用于肠道深部给药等,其操作难度不高,平均置管时间15分钟,魏玮教授通过TET置管进行中药灌肠,可全结肠覆盖给药,改变了中药的给药途径,为溃疡性结肠炎的治疗提供中西医结合诊疗思路。

图文:孙巍琪
编辑:毛莉
审核:严宁娟