专家:李猛北京大学首钢医院超声医学科主任
汪磊北京大学首钢医院泌尿外科主任医师
关键词:肾囊肿肾癌血尿
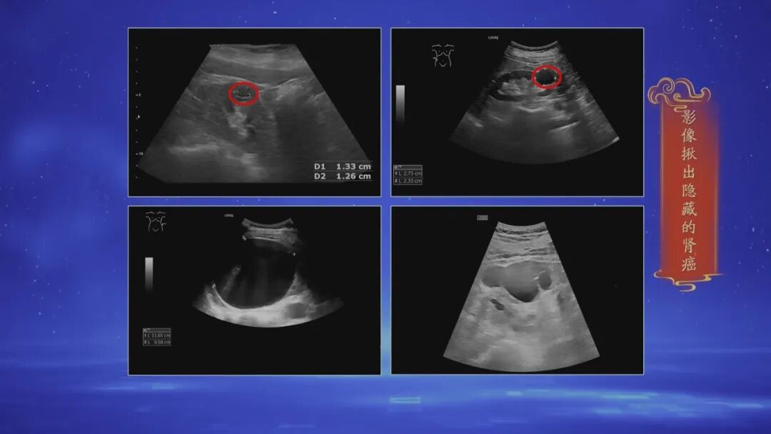
专家指出:中老年人可能2个人中就有1个人的肾脏上,有“居民”入住!虽然大多数都是“好居民”,但隐藏在其中的“坏居民”危害更大,不仅隐蔽不易被发现,更有致命危机,直接威胁到我们的生命安全!到底怎么回事?更多详情,请关注17:25播出的,北京大学首钢医院超声医学科李猛、泌尿外科汪磊两位老师为您带来的《小心会隐藏的肾癌》。




现场一位患者,肾上不仅仅有“好居民”,也有“坏居民”!“坏居民”到底什么样?通过影像能够清晰找出“坏居民”吗?肿瘤加速器又有哪些?更多详情,请关注17:25播出的《小心会隐藏的肾癌》。




专家指出:早发现肾肿瘤非常重要,三个自查方法中,第一个通过尿液观察最最重要。现场观众在观察尿液这个环节中没有一个人全对,您知道尿液是怎么帮助肾脏报警的吗?更多详情,请关注17:25播出的《小心会隐藏的肾癌》。更多内容请点击:http://www.btime.com/btv/btvws_yst


【专家出诊时间】
出诊信息:
汪磊:北京大学首钢医院泌尿外科每周四下午专家门诊
李猛:北京大学首钢医院周四上午专家门诊地点:门诊三层超声医学科
备注:突发原因导致门诊时间、出诊地点、门诊类型(普通、专家或特需门诊)、挂号费用的改变,请以医院当日公布为准。