看牙医本想解决牙痛,谁料一根用于根管治疗的小小锉针,竟意外掉入气管。
3月6日下午,广西北海一名69岁男子因牙痛前往北海某口腔诊所接受治疗。治疗时,医生不慎将一根用于疏通、清理根管治疗的机扩针(机用小锉针)掉进患者口腔里,异物经口腔误入气管,男子受到刺激当即咳嗽不止。


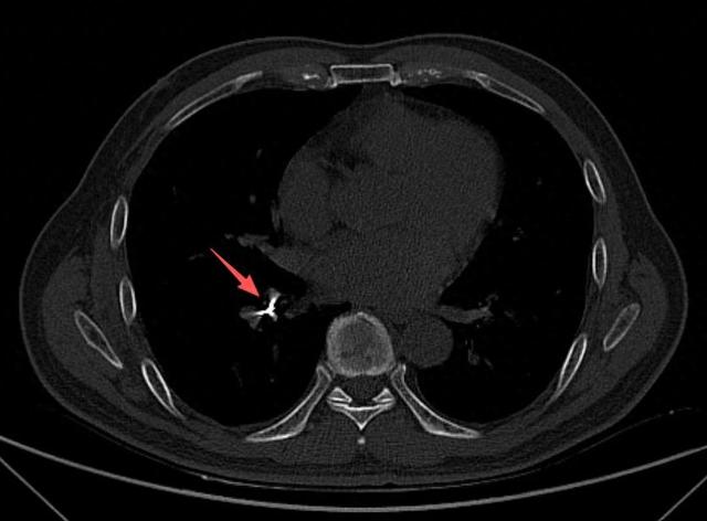
随后,诊所牙医陪同男子到北海市人民医院就诊,经CT检查,在患者右下肺支气管内发现有异物存留,便紧急收入呼吸与危重症医学科病房。
病房接诊后,医院立即启动急诊救治流程。医疗团队为患者取出异物,
经确认,取出的异物正是用于根管治疗的机扩针,长约2厘米,针的一头圆滑、一头细长而尖锐。
“幸好是圆滑的一头朝下滑进气管,一路滑到支气管没有造成意外损伤。”事后,医生表示。
术后检查确认,异物未对患者气道及肺部造成额外损伤,患者生命体征平稳。经过妥善观察治疗,患者次日康复出院。
来源:北海市人民医院